AOTRAUMA.ORG Центр Илизарова  

Ортопедия и травматология Общие вопросы/General questions Help Информационные технологии в медицине
 вверх
 отправить
 поиск
 админ
 главная
 Предыдущее


Re: PFN-a - стабильность фиксации
Anatoly Lazarev 11 Декабрь 2017, 23:17
Ситуация интересная, следует посмотреть снимки после начала ходьбы, возможна компактизация отломков.
Медиальная опора сохранения - это уже более половины успеха.
В Гамме3 есть угол клинка около 120 или 125 градусов. Таглан - разработчик Гаммы всем пожилым пациентоам рекомендует
ставить стержень с наименьшим ШДУ. По нашему опыту - это позволяет ввестиу клинок проксимальнее линии перелома.
Очень важно, что в вашем случае в аксиальной поекции клинок хорошо центрирован.
Успехов. Будем посмотреть. Что то мне подсказывает что все будет хорошо.
ЛАФ.

  • Сообщения о Ортопедия и травматология
  • Также Anatoly Lazarev
  • Связаться с автором
  • Ответить

    Re: PFN-a - стабильность фиксации
    Ilya Nakorenok 12 Декабрь 2017, 21:08


    Спасибо за Ваш комментарий.Согласен что Гамма 3 с 120-125 ШДУ позволяет в большинстве случаев и корректно а шейке быть и латеральную часть большого вертела подхватить,однако в бюджетном сегменте имплантов в основном 130 гр.,и зачастую при корректном положении в шейке отсутствует латеральная стенка и сращение происходит с медиализацией бедра.

    [ Ответить ]

    • Re: PFN-a - стабильность фиксации
      Отправитель: Alexander Chelnokov 13 Декабрь 2017, 00:39

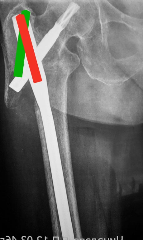
      Ни угол в гвозде, ни мнимое или реальное отсутствие латеральной стенки здесь ни при чем. Проблема обусловлена латеральной точкой введения и медиальным направлением в центральном отломке. На приложенной картинке зеленым обозначено должное положение.

      [ Ответить ]

     

    ( Ответить )

    Powered by Zope  Squishdot Powered MedLink
    Посетитель: 0409104
      "По форме правильно, а по существу - издевательство" В.И.Ленин
    ©2001-2019Orthoforum Coordinator.
    [ Главная | Отправить сообщение | Поиск | Админ ]