AOTRAUMA.ORG Центр Илизарова  

Ортопедия и травматология Общие вопросы/General questions Help Информационные технологии в медицине
 вверх
 отправить
 поиск
 админ
 главная
 Предыдущее


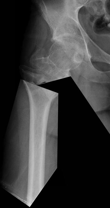
Re: Перелом проксимального отдела бедра
Sergey Delinikaitis 27 Январь 2018, 19:50
Если головка хорошая, то по линии перелома, если плохая- эндопротез.
  • Сообщения о Ортопедия и травматология
  • Также Sergey Delinikaitis
  • Связаться с автором
  • Ответить

    Re: Перелом проксимального отдела бедра
    Alexander Chelnokov 28 Январь 2018, 18:29
    С головкой тут с подавляющей вероятностью все в порядке. По линии перелома разобщить можно, но делать это, потом добиваться восстановления шеечно-диафизарного угла может быть труднее и кровавее, чем сделать чрескожную остеотомию на уровне интактной кости, и закрыто зафиксировать гвоздем.

    [ Ответить ]


    ( Ответить )

    Powered by Zope  Squishdot Powered MedLink
    Посетитель: 0195344
      "По форме правильно, а по существу - издевательство" В.И.Ленин
    ©2001-2019Orthoforum Coordinator.
    [ Главная | Отправить сообщение | Поиск | Админ ]