AOTRAUMA.ORG Центр Илизарова  

Ортопедия и травматология Общие вопросы/General questions Help Информационные технологии в медицине
 вверх
 отправить
 поиск
 админ
 главная
 Предыдущее


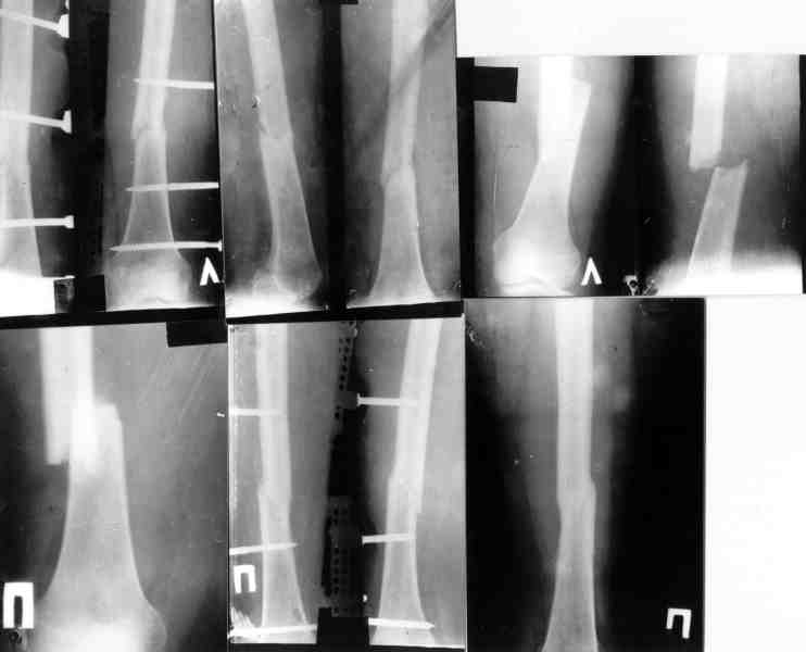
Re: Огнестрельный перелом плеча ( продолжение)
Sergey Melashenko 19 Август 2006, 13:02
Вот еще информация, ознакамливайтесь pls/





С ув. Сергей Мелашенко,
Приморск, Запорожская обл.
Ukraine
  • Сообщения о Ортопедия и травматология
  • Также Sergey Melashenko
  • Связаться с автором
  • Ответить

    Re: Огнестрельный перелом плеча ( продолжение)
    Maxim Agalakov 20 Август 2006, 22:15
    Ув. коллега, а что такого нового или необычного в этих приложениях - стандартные методики. аппаратов внешней фиксации - море - этот просто один из них.
    [ Ответить ]

    • Re: Огнестрельный перелом плеча ( продолжение)
      Отправитель: Sergey Melashenko 20 Август 2006, 22:44
      Автор просил выслать в net...

      [ Ответить ]

     

    ( Ответить )

    Powered by Zope  Squishdot Powered MedLink
    Посетитель: 0203444
      "По форме правильно, а по существу - издевательство" В.И.Ленин
    ©2001-2019Orthoforum Coordinator.
    [ Главная | Отправить сообщение | Поиск | Админ ]