вверх
отправить
поиск
админ
главная
Предыдущее
|
Re: Тугой ложный сустав правого бедра в сочетании
Alexaander Chelnokov 01 Сентябрь 2006, 23:56
|
> тугой ложный сустав дистальной трети правой бедренной кости,
Какая амплитуда движений в коленном суставе?
> ложного сустава бедренной кости не использовать материалы, не
> подвергающиеся трансформации.
Уф. Что-то тут моя мысль остановилась в бессилии.
> 3. В ходе операции, направленной на устранение ложного сустава:
> А. удалить все металлоконструкции;
На бедре больше проблем, начать бы пока с него.
> Б. ревизовать зону пролежня под пластиной на бедре, при
> наличии признаков достаточной жизнеспособности кости выполнить
Если диагноз подтвердится, и действително там именно тугой ложный сустав, нет инфекции, то открыто вмешиваться на зоне несращения не нужно.
> Ввести штифт с блокированием (например Stryker с
> учетом особенностей расположения дистальных блокирующих винтов у
У Stryker всякого рода штифтов много, какой именно подразумевается, и почему именно от Stryker? Дистальный отломок тут довольно длинный, подойдут чуть не все существующие фиксаторы.
> этой конструкции). Осуществить остеосинтез с учтанением варусной
> деформации бедренной кости.
Если ложный сустав действительно тугой, то мы бы выполнили малоинвазивное удаление пластины, затем в течение 10-15 дней аппаратом бы восстановили ось и длину бедра, и вторым этапом закрыто бы заштифтовали антеградно, с введением в дистальный отломок 3-4 запирающих винтов.
Чтобы оценить осуществимость такого плана, надо бы увидеть хорошие снимки бедра, лучше в 4 проекциях.
|
|
|
Ответить
|
Re: Тугой ложный сустав правого бедра в сочетании
В.С.Саплин 03 Сентябрь 2006, 14:21
|
Уважаемый Александр Николаевич,
Спасибо за конструктивные вопросы.
> Какая амплитуда движений в коленном суставе?
Разгибание до 170 град, сгибание до 90 град, при максимальном сгибании ротация голени кнаружи видна отчеливо и составляет 10-12 град.
>> ...не использовать материалы, не подвергающиеся трансформации.
> Уф. Что-то тут моя мысль остановилась в бессилии.
Имелось ввиду, что не будут применяться пористый никелид титана, пористая керамика для заполнения довольно большого дефекта бедренной кости, поскольку они в дальнейшем станут препятствием для установки бедренного направителя при TKR.
> На бедре больше проблем, начать бы пока с него.
С этим трудно спорить. Единственное основание для принятия решения об удалении всех конструкций: +1 час на строле = - 1 дополнительный визит на стол. Конечно, если на бедре все пройдет без существенных проблем.
> Если диагноз подтвердится, и действително там именно тугой ложный сустав, нет инфекции, то открыто вмешиваться на зоне
> несращения не нужно.
Этот вариант обсуждается. Конечно, аппаратом можно трансформировать рубцовую ткань и наверняка устранить все деформации, но есть некоторые сомнения в перспективах оссификации. Предполагалось внесение материала для остеогенеза.
> У Stryker всякого рода штифтов много, какой именно подразумевается,
имелся ввиду T2 Femoral Nailing System: возможность как антеградного, так и ретроградного введения, низкое расположение отверстия для блокирующего дистального винта, наличие стандартного болта-стяжки, который, скорее всего,
придется использовать.
> и почему именно от Stryker?
Поддержан инструментарием.
> Если ложный сустав действительно тугой, то мы бы выполнили
> малоинвазивное удаление пластины, затем в течение 10-15 дней > аппаратом бы восстановили ось и длину бедра, и вторым
> этапом > закрыто бы заштифтовали антеградно, с введением в дистальный > отломок 3-4 запирающих винтов.
Этот вариант рассматривался, может и будет еще анализироваться. Вопрос все тот же - как будет перестариваться рубцовая ткань в зоне ложного сустава? Что заставит ее трансформироваться в костную, особенно если мы снимем дистракционные усилия после IM-nailing? Сроки восстановления опороспособности?
С уважением и благодарностью,
орд. В.С. Саплин
|
[
Ответить ]
|
Re: Тугой ложный сустав правого бедра в сочетании
Отправитель: Alexander Chelnokov 03 Сентябрь 2006, 21:11
|
> Разгибание до 170 град, сгибание до 90 град, при максимальном
> сгибании ротация голени кнаружи видна отчеливо и составляет 10-12 град.
Движения приличные, есть за что бороться. Такая ротация голени кнаружи, если она действительно есть (для уточнения можно сделать КТ на уровне обоих метафизов и бедреных, и берцовых ксотей, не меняя положение ног во время съемки), большого значения не имеет. А уж на фоне всего остального тут - вообще говорить не о чем.
> Имелось ввиду, что не будут применяться пористый никелид титана,
> пористая керамика для заполнения довольно большого дефекта бедренной
Наверно, есть в этом резон.
> решения об удалении всех конструкций: +1 час на строле = - 1
> дополнительный визит на стол. Конечно, если на бедре все пройдет без
Тут "-1 визит" не получится, раз все равно предполагается операция и на прокимальном отделе большеберцовой.
> трансформировать рубцовую ткань и наверняка устранить все
> деформации, но есть некоторые сомнения в перспективах оссификации.
Давайте будем последовательны. Диагноз определяет тактику. То есть если это "тугой ложный сустав", тогда какие сомнения? Тугие псведартрозы успешно лечатся одной дистракцией, что известно более 30
лет.
> Предполагалось внесение материала для остеогенеза.
Тогда давайте диагноз менять.
> имелся ввиду T2? Femoral Nailing System: возможность как
> антеградного, так и ретроградного введения, низкое расположение
Сгодится, наверно.
>> закрыто бы заштифтовали антеградно, с введением в дистальный >
>> отломок 3-4 запирающих винтов.
> Этот вариант рассматривался, может и будет еще анализироваться.
> Вопрос все тот же - как будет перестариваться рубцовая ткань в зоне
> ложного сустава?
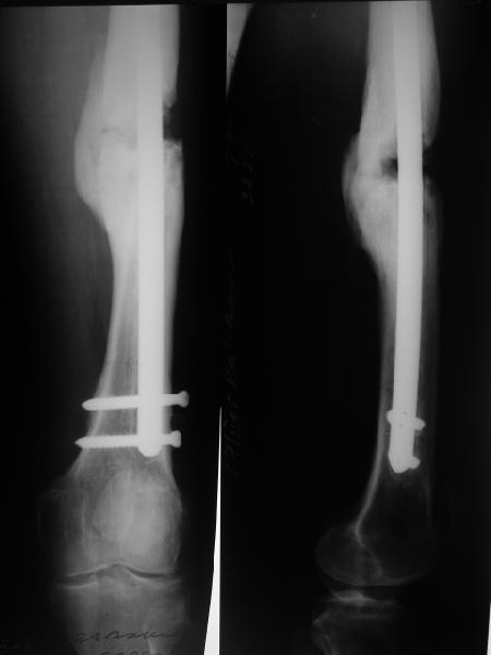
Давайте посмотрим на снимки бедра. В принципе, с наличием "эндопротеза диафиза" в виде мощного интрамедуллярного стержня не надо убиваться с обширными вмешательствами на очаге с кровопотерями, создавать большую площадь контакта, замещать все дефекты. Достаточно образования после дистракции узенького мостика по одной стороне. Со временем он упрочится, стержень в канале будет помогать сохранять длину и ось несколько лет. Даже если не будет смыкания трубок, можно потом стержень отпереть, за счет этого улучшиться контакт. Можно сделать реостеосинтез с рассверливанием стержнем большего диаметра. Важно, что все это время можно нормально пользоваться конечностью.
В приложении снимки бедра - с такой картинкой пациентка ходит, не хромает, работает инженером 3,5 года после операции с первых дней, хотя еще и инсулинозависимый диабет.

> Что заставит ее трансформироваться в костную,
Как что - напряжение растяжения.
> особенно если мы снимем дистракционные усилия после IM-nailing?
А зачем их снимать? Насколько растянули, так в
напряжении на дистракцию надо гвоздь и запереть, не теряя ни мм.
> Сроки восстановления опороспособности?
Зависит от массы тела пациента, длины, диаметра и количества запирающих винтов. Если винты диаметром 6 мм, мы вообще нагрузку не ограничиваем. У T2 они 5 мм, но можно взять дистальные винты partially threaded.
|
[
Ответить ]
|
Re: Тугой ложный сустав правого бедра в сочетании
Отправитель: В.С. Саплин 03 Сентябрь 2006, 23:16
|
Уважаемый Александр Николаевич,
Еще раз спасибо за Ваши продуктивные советы.
> Диагноз определяет тактику. То есть если это "тугой ложный сустав"...
У нас есть все же сомнения, насколько он "тугой". Наличие хоть и нестабильной но все же фиксации пластиной, маскирующей степень подвижности; сочетание на рентгенограммах зон гиперостоза с зонами лизиса не дает четкой уверенности ни в том, что это тугой ложный сустав в классическом понимании, ни что это истинно атрофическая ситуация. А чем сейчас можно быть уверенным? Вот потому и одолевают сомнения.
> В приложении снимки бедра
Очень убедительно.
Наш пациент имеет рост 2 м и вес 120 кг, при этом он не выглядит полным. Так что не очень хочется надеяться только на гвоздь, хотелось бы и репаративные процессы обеспечить.
С уважением,
орд В.С. Саплин
|
[
Ответить ]
|
|
( Ответить )
|
|