Ответить
|
Re: пластина или гвоздь?
А.Миронов 08 Декабрь 2006, 20:33
|
Виталий Геннадьевич! А почему не EXPERT?
С Уважением А.Миронов
|
[
Ответить ]
|
Re: пластина или гвоздь?
Отправитель: Дрягин 09 Декабрь 2006, 09:03
|
Есть большой опыт лечение низких переломов голени.Это по сути дела перелом пилона типа А.Околосуставной. Малоинвазивно,отрепонировав сначала и зафиксировав стержневым аппаратом можно добится идеальной репозиции и очень стабильной фиксации пластиной.Здесь можно применить и прямую пластину и специальную для переломов пилона.Она в отличие от клевера имеет неограниченную длину и адаптирована к поверхности.Гвоздь это же относительная стабильность.Особенно при низких переломах голени.С уважением
|
[
Ответить ]
|
Re: пластина или гвоздь?
Отправитель: Alexaander Chelnokov 09 Декабрь 2006, 15:48
|
Д> репозиции и очень стабильной фиксации пластиной. Здесь можно применить
Д> и прямую пластину и специальную для переломов пилона. Она в отличие от
Безусловно, тут и пластину, и аппарат можно применить. То есть выбор здесь определяется не возможностью обеспечить желаемый окончательный результат (который практически одинаков при любом варианте хирургической стабилизации), а какие-то другие фвкторы.
Д> Гвоздь это же относительная стабильность. Особенно при низких переломах голени.
"Относительная" - не значит "недостаточная".
Любой интрамедуллярный остеосинтез - это фиксация с т.н. относительной стабильностью. Но прочность, особенно усталостная, у стержней куда выше.
|
[
Ответить ]
|
Re: пластина или гвоздь?
Отправитель: Maxim Agalakov 09 Декабрь 2006, 09:39
|
a почему EXPERT? ФГУП ЦИТО выпускает замечательные гвозди-Metadiafix, гораздо дешевле. но возможностей даже больше при "проблемных" локализациях.
|
[
Ответить ]
|
|
Re: пластина или гвоздь?
дмитрий бондарь 08 Декабрь 2006, 22:58
|
Или два шурупа + аппарат сверху ( кажется на форуме коллега Заднепровский представлял недавно) или чистый аппарат.
С уважением Д.Б.
|
[
Ответить ]
|
Re: пластина или гвоздь?
Alexaander Chelnokov 09 Декабрь 2006, 01:09
|
"Вы еще пользуетесь пластинками при таких переломах? Тогда мы идем к вам!";-)
Почему не заштифтовать? Малоинвазивно это будет не то что "возможно", а всенепременно. И если фиксатор отечественный использовать, то и про средства особо напрягаться не придется. По соотношению цена/результат - штифтование тут в разы превосходит LCP. Если бы было повреждение суставной поверхности - основания для выбора операции и фиксатора были другие. Мы же вроде и про такие переломы в Челябинске разговаривали, и картинки смотрели... Неужели не убедил? Придется снова приехать ;-))
|
[
Ответить ]
|
Re: пластина или гвоздь?
Отправитель: Алексей Семенистый 10 Декабрь 2006, 02:30
|
Приветствую, Александр и Виталий!
> > Д> Если позволяют средства, то я бы поставил пластину лучше метафизарную
> Д> LCP. Возможно даже малоинвазивно.
Вероятно, и мы поступили бы так же, не смотря на любовь к штифтам
> "Вы еще пользуетесь пластинками при таких переломах? Тогда мы идем к
> вам!";-)
> Почему не заштифтовать? Малоинвазивно это будет не то что "возможно",
> а всенепременно. И если фиксатор отечественный использовать, то и про
> средства особо напрягаться не придется. По соотношению цена/результат
> - штифтование тут в разы превосходит LCP.
С последним утверждением не могу согласиться. Перелом А1.- вполне реально малоинвазивной техникой добиться анатомичной репозиции, компрессии перелома стягивающим винтом + нейтрализующая LCP (лучче премоделированной) И ДАТЬ НАГРУЗКУ СРАЗУ, КАК НА ГВОЗДЕ. Свои наблюдения показывают, что при таких дистальных переломах даже при очень хорошей репозиции на штифте часто бывает замедленное сращение и, что самое главное через 4-6 месяцев функция полностью еще не восстанавливается, а с пластиной - восстанавливается.
А.Семенистый
|
[
Ответить ]
|
Re: пластина или гвоздь?
Отправитель: Alexaander Chelnokov 10 Декабрь 2006, 02:36
|
>> > Д> Если позволяют средства, то я бы поставил пластину лучше метафизарную
>> Д> LCP. Возможно даже малоинвазивно.
АС> Вероятно, и мы поступили бы так же, не смотря на любовь к штифтам
У нас тоже LCP доступны, но со штифтами как-то оно и проще, и надежнее.
АС> С последним утверждением не могу согласиться. Перелом А1.- вполне
АС> реально малоинвазивной техникой добиться анатомичной репозиции,
При любом варианте (аппарат, пластина, гвоздь) здесь можно и нужно добиться закрытой репозиции.
АС> компрессии перелома стягивающим винтом + нейтрализующая LCP (лучче
АС> премоделированной)
Это, безусловно, выполнимо, как и любой другой вариант фиксации отломков. Вопрос - что оптимальнее? Для начала - определиться бы с
критериями оптимальности?
АС> И ДАТЬ НАГРУЗКУ СРАЗУ, КАК НА ГВОЗДЕ.
Нагрузку без ограничений? С массой тела >100 кг? С правильным штифтом можно. А с пластинами? Надо будет на стенде погонять при случае.
АС> Свои наблюдения показывают, что при таких дистальных переломах
АС> даже при очень хорошей репозиции на штифте часто бывает замедленное
АС> сращение
При спиральных переломах - не припоминаю. Есть примеры посмотреть?
АС> и, что самое главное через 4-6 месяцев функция полностью
АС> еще не восстанавливается, а с пластиной - восстанавливается.
Интересно. Контрактуры тут IMHO ожидаемы в первую очередь при лечении "классическими" аппаратами со сквозными спицами через переднюю группу мышц. Со стержнями проблем с функцией в такие сроки не припоминаю. С малоинвазивными пластинами тоже. В общем, без исследования не обойтись.
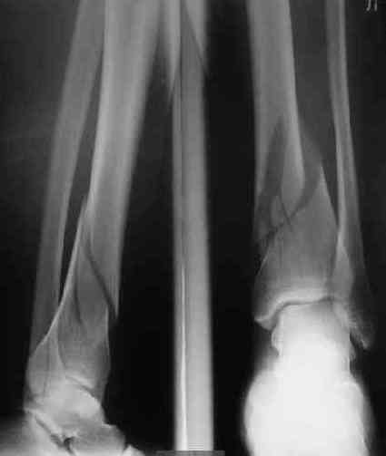
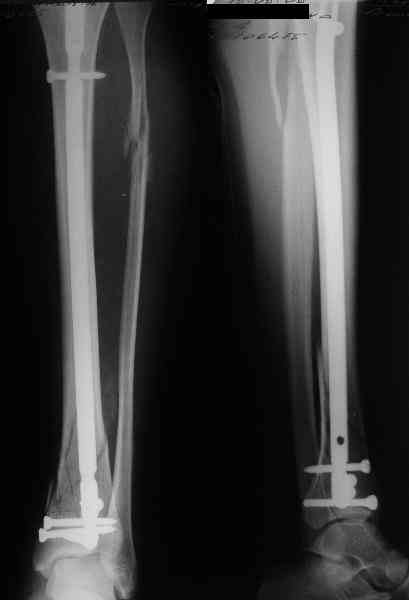
В приложении пример лечения аналогичного повреждения (плюс задний край).

|
[
Ответить ]
|
Re: пластина или гвоздь?
Отправитель: Алексей Семенистый 10 Декабрь 2006, 07:53
|
> У нас тоже LCP доступны, но со штифтами как-то оно и проще, и
> надежнее.
Когда есть выбор методов, помноженный на опыт и умения врача, это всегда здорово, проще и надежнее!
> При любом варианте (аппарат, пластина, гвоздь) здесь можно и нужно
> добиться закрытой репозиции.
Не просто репозиции, а анатомичной. Анатомичная репозиция требует абсолютной стабильности. Конечно, первичное сращение вообще - не самоцель. Но при простом метафизарном переломе это правильная цель.
> Вопрос - что оптимальнее? Для начала - определиться бы с
> критериями оптимальности?
Сложный философский вопрос!
> АС> И ДАТЬ НАГРУЗКУ СРАЗУ, КАК НА ГВОЗДЕ.
> Нагрузку без ограничений? С массой тела >100 кг? С правильным штифтом
> можно. А с пластинами? Надо будет на стенде погонять при случае.
С правильной пластиной правильно установленной тоже ДА! (не вообще, а именно при этом переломе)
> АС> даже при очень хорошей репозиции на штифте часто бывает замедленное
> АС> сращение
>
> При спираьных переломах - не припоминаю. Есть примеры посмотреть?
Пожалуй ты прав, при простых низкоэнергетических спиральных переломах ничего не нашел :)
> АС> еще не восстанавливается, а с пластиной - восстанавливается.
>
> Со стержнями проблем с функцией в такие сроки не припоминаю. С
> малоинвазивными пластинами тоже. В общем, без исследования не обойтись.
Прекрасная мысль!
> В приложении пример лечения аналогичного повреждения (плюс задний край).
Превосходно!
С уважением, А.Семенистый
|
[
Ответить ]
|
Re: пластина или гвоздь?
Отправитель: А.Миронов 10 Декабрь 2006, 10:22
|
>Свои наблюдения показывают, что при таких дистальных переломах даже при очень хорошей репозиции на штифте часто бывает замедленное сращение и, что самое главное через 4-6 месяцев функция полностью еще не восстанавливается, а с пластиной - восстанавливается.
A как Вы это обьясняете
А.Миронов
|
[
Ответить ]
|
Re: пластина или гвоздь?
Отправитель: Алексей Семенистый 10 Декабрь 2006, 20:15
|
>Свои наблюдения показывают, что при таких >дистальных переломах даже при очень хорошей >репозиции на штифте часто бывает замедленное >сращение и, что самое главное через 4-6 месяцев >функция полностью еще не восстанавливается, а с >пластиной - восстанавливается.
>A как Вы это обьясняете
>А.Миронов
Возможно нагрузка, которую мы разрешаем на штифте, оказывается неадекватной достигнутой стабильности и репозиции. Кроме того, Александр Николаевич меня справедливо поправил, это касается более тяжелых повреждений с прямым механизмом.
А.Семенистый
|
[
Ответить ]
|
|
( Ответить )
|
|