Ответить
|
Re: пластина или гвоздь?
Дрягин 08 Декабрь 2006, 19:10
|
Если позволяют средства, то я бы поставил пластину лучше метафизарную LCP.Возможно даже малоинвазивно.С уважением
|
[
Ответить ]
|
Re: пластина или гвоздь?
Отправитель: А.Миронов 08 Декабрь 2006, 20:33
|
Виталий Геннадьевич! А почему не EXPERT?
С Уважением А.Миронов
|
[
Ответить ]
|
Re: пластина или гвоздь?
Отправитель: Дрягин 09 Декабрь 2006, 09:03
|
Есть большой опыт лечение низких переломов голени.Это по сути дела перелом пилона типа А.Околосуставной. Малоинвазивно,отрепонировав сначала и зафиксировав стержневым аппаратом можно добится идеальной репозиции и очень стабильной фиксации пластиной.Здесь можно применить и прямую пластину и специальную для переломов пилона.Она в отличие от клевера имеет неограниченную длину и адаптирована к поверхности.Гвоздь это же относительная стабильность.Особенно при низких переломах голени.С уважением
|
[
Ответить ]
|
Re: пластина или гвоздь?
Отправитель: Alexaander Chelnokov 09 Декабрь 2006, 15:48
|
Д> репозиции и очень стабильной фиксации пластиной. Здесь можно применить
Д> и прямую пластину и специальную для переломов пилона. Она в отличие от
Безусловно, тут и пластину, и аппарат можно применить. То есть выбор здесь определяется не возможностью обеспечить желаемый окончательный результат (который практически одинаков при любом варианте хирургической стабилизации), а какие-то другие фвкторы.
Д> Гвоздь это же относительная стабильность. Особенно при низких переломах голени.
"Относительная" - не значит "недостаточная".
Любой интрамедуллярный остеосинтез - это фиксация с т.н. относительной стабильностью. Но прочность, особенно усталостная, у стержней куда выше.
|
[
Ответить ]
|
Re: пластина или гвоздь?
Отправитель: Maxim Agalakov 09 Декабрь 2006, 09:39
|
a почему EXPERT? ФГУП ЦИТО выпускает замечательные гвозди-Metadiafix, гораздо дешевле. но возможностей даже больше при "проблемных" локализациях.
|
[
Ответить ]
|
Re: пластина или гвоздь?
Отправитель: дмитрий бондарь 08 Декабрь 2006, 22:58
|
Или два шурупа + аппарат сверху ( кажется на форуме коллега Заднепровский представлял недавно) или чистый аппарат.
С уважением Д.Б.
|
[
Ответить ]
|
Re: пластина или гвоздь?
Отправитель: Alexaander Chelnokov 09 Декабрь 2006, 01:09
|
"Вы еще пользуетесь пластинками при таких переломах? Тогда мы идем к вам!";-)
Почему не заштифтовать? Малоинвазивно это будет не то что "возможно", а всенепременно. И если фиксатор отечественный использовать, то и про средства особо напрягаться не придется. По соотношению цена/результат - штифтование тут в разы превосходит LCP. Если бы было повреждение суставной поверхности - основания для выбора операции и фиксатора были другие. Мы же вроде и про такие переломы в Челябинске разговаривали, и картинки смотрели... Неужели не убедил? Придется снова приехать ;-))
|
[
Ответить ]
|
Re: пластина или гвоздь?
Отправитель: Алексей Семенистый 10 Декабрь 2006, 02:30
|
Приветствую, Александр и Виталий!
> > Д> Если позволяют средства, то я бы поставил пластину лучше метафизарную
> Д> LCP. Возможно даже малоинвазивно.
Вероятно, и мы поступили бы так же, не смотря на любовь к штифтам
> "Вы еще пользуетесь пластинками при таких переломах? Тогда мы идем к
> вам!";-)
> Почему не заштифтовать? Малоинвазивно это будет не то что "возможно",
> а всенепременно. И если фиксатор отечественный использовать, то и про
> средства особо напрягаться не придется. По соотношению цена/результат
> - штифтование тут в разы превосходит LCP.
С последним утверждением не могу согласиться. Перелом А1.- вполне реально малоинвазивной техникой добиться анатомичной репозиции, компрессии перелома стягивающим винтом + нейтрализующая LCP (лучче премоделированной) И ДАТЬ НАГРУЗКУ СРАЗУ, КАК НА ГВОЗДЕ. Свои наблюдения показывают, что при таких дистальных переломах даже при очень хорошей репозиции на штифте часто бывает замедленное сращение и, что самое главное через 4-6 месяцев функция полностью еще не восстанавливается, а с пластиной - восстанавливается.
А.Семенистый
|
[
Ответить ]
|
Re: пластина или гвоздь?
Отправитель: Alexaander Chelnokov 10 Декабрь 2006, 02:36
|
>> > Д> Если позволяют средства, то я бы поставил пластину лучше метафизарную
>> Д> LCP. Возможно даже малоинвазивно.
АС> Вероятно, и мы поступили бы так же, не смотря на любовь к штифтам
У нас тоже LCP доступны, но со штифтами как-то оно и проще, и надежнее.
АС> С последним утверждением не могу согласиться. Перелом А1.- вполне
АС> реально малоинвазивной техникой добиться анатомичной репозиции,
При любом варианте (аппарат, пластина, гвоздь) здесь можно и нужно добиться закрытой репозиции.
АС> компрессии перелома стягивающим винтом + нейтрализующая LCP (лучче
АС> премоделированной)
Это, безусловно, выполнимо, как и любой другой вариант фиксации отломков. Вопрос - что оптимальнее? Для начала - определиться бы с
критериями оптимальности?
АС> И ДАТЬ НАГРУЗКУ СРАЗУ, КАК НА ГВОЗДЕ.
Нагрузку без ограничений? С массой тела >100 кг? С правильным штифтом можно. А с пластинами? Надо будет на стенде погонять при случае.
АС> Свои наблюдения показывают, что при таких дистальных переломах
АС> даже при очень хорошей репозиции на штифте часто бывает замедленное
АС> сращение
При спиральных переломах - не припоминаю. Есть примеры посмотреть?
АС> и, что самое главное через 4-6 месяцев функция полностью
АС> еще не восстанавливается, а с пластиной - восстанавливается.
Интересно. Контрактуры тут IMHO ожидаемы в первую очередь при лечении "классическими" аппаратами со сквозными спицами через переднюю группу мышц. Со стержнями проблем с функцией в такие сроки не припоминаю. С малоинвазивными пластинами тоже. В общем, без исследования не обойтись.
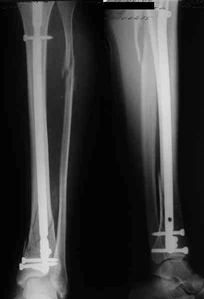
В приложении пример лечения аналогичного повреждения (плюс задний край).

|
[
Ответить ]
|
Re: пластина или гвоздь?
Отправитель: Алексей Семенистый 10 Декабрь 2006, 07:53
|
> У нас тоже LCP доступны, но со штифтами как-то оно и проще, и
> надежнее.
Когда есть выбор методов, помноженный на опыт и умения врача, это всегда здорово, проще и надежнее!
> При любом варианте (аппарат, пластина, гвоздь) здесь можно и нужно
> добиться закрытой репозиции.
Не просто репозиции, а анатомичной. Анатомичная репозиция требует абсолютной стабильности. Конечно, первичное сращение вообще - не самоцель. Но при простом метафизарном переломе это правильная цель.
> Вопрос - что оптимальнее? Для начала - определиться бы с
> критериями оптимальности?
Сложный философский вопрос!
> АС> И ДАТЬ НАГРУЗКУ СРАЗУ, КАК НА ГВОЗДЕ.
> Нагрузку без ограничений? С массой тела >100 кг? С правильным штифтом
> можно. А с пластинами? Надо будет на стенде погонять при случае.
С правильной пластиной правильно установленной тоже ДА! (не вообще, а именно при этом переломе)
> АС> даже при очень хорошей репозиции на штифте часто бывает замедленное
> АС> сращение
>
> При спираьных переломах - не припоминаю. Есть примеры посмотреть?
Пожалуй ты прав, при простых низкоэнергетических спиральных переломах ничего не нашел :)
> АС> еще не восстанавливается, а с пластиной - восстанавливается.
>
> Со стержнями проблем с функцией в такие сроки не припоминаю. С
> малоинвазивными пластинами тоже. В общем, без исследования не обойтись.
Прекрасная мысль!
> В приложении пример лечения аналогичного повреждения (плюс задний край).
Превосходно!
С уважением, А.Семенистый
|
[
Ответить ]
|
Re: пластина или гвоздь?
Отправитель: А.Миронов 10 Декабрь 2006, 10:22
|
>Свои наблюдения показывают, что при таких дистальных переломах даже при очень хорошей репозиции на штифте часто бывает замедленное сращение и, что самое главное через 4-6 месяцев функция полностью еще не восстанавливается, а с пластиной - восстанавливается.
A как Вы это обьясняете
А.Миронов
|
[
Ответить ]
|
Re: пластина или гвоздь?
Отправитель: Алексей Семенистый 10 Декабрь 2006, 20:15
|
>Свои наблюдения показывают, что при таких >дистальных переломах даже при очень хорошей >репозиции на штифте часто бывает замедленное >сращение и, что самое главное через 4-6 месяцев >функция полностью еще не восстанавливается, а с >пластиной - восстанавливается.
>A как Вы это обьясняете
>А.Миронов
Возможно нагрузка, которую мы разрешаем на штифте, оказывается неадекватной достигнутой стабильности и репозиции. Кроме того, Александр Николаевич меня справедливо поправил, это касается более тяжелых повреждений с прямым механизмом.
А.Семенистый
|
[
Ответить ]
|
|
Re: пластина или гвоздь?
Alexaander Chelnokov 09 Декабрь 2006, 01:08
|
Мы такие переломы закрыто штифтуем. Пластину больше смысла обсуждать, если требуется открытое восстановление суставной поверхности, костная пластика, в общем, если повреждение типа 33C3.
|
[
Ответить ]
|
Re: пластина или гвоздь?
Отправитель: А.Миронов 09 Декабрь 2006, 08:24
|
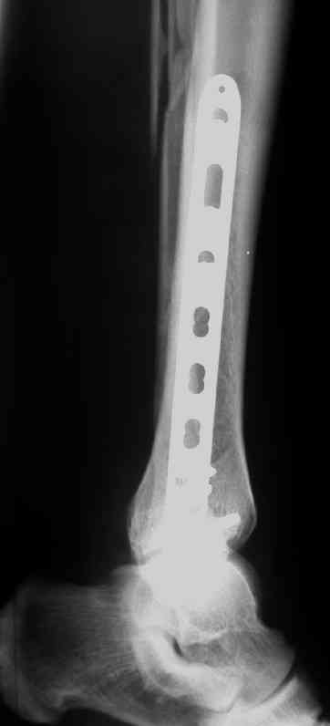
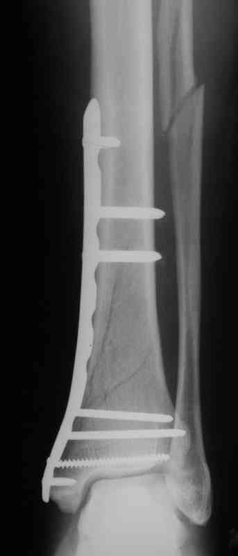
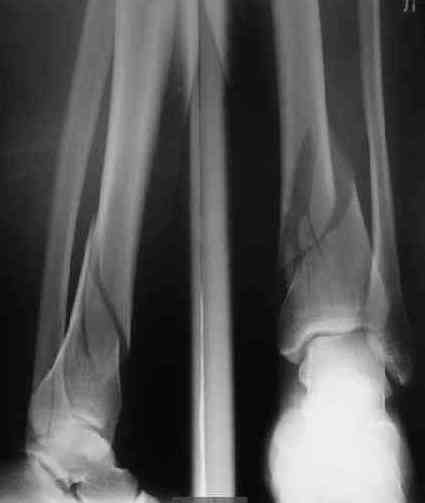
Выполнил MIPO предизогнутой метафизарной LCP

|
[
Ответить ]
|
Re: пластина или гвоздь?
Отправитель: Alexaander Chelnokov 09 Декабрь 2006, 16:29
|
Красиво получилось, поздравляю. Насчет немедленной полной нагрузки, как на гвозде, про что Алексей Семенистый говорит - будете разрешать сразу?
|
[
Ответить ]
|
Re: пластина или гвоздь?
Отправитель: А.Миронов 09 Декабрь 2006, 18:00
|
>Насчет немедленной полной нагрузки, как на гвозде, про что Алексей Семенистый говорит - будете разрешать сразу?
У нас такого опыта нет.
Подход индивидуальный, учитывая массу больного около 130кг, разрешу частичную нагрузку 15-20кг, через 4нед. Rg-контроль, при отсутствии признаков нестабильности полная нагрузка
А. Миронов
|
[
Ответить ]
|
Re: пластина или гвоздь?
Отправитель: Алексей Семенистый 10 Декабрь 2006, 02:32
|
Вообщем, поздравляю!
И все же немного критики:1) Вы добивались анатомичной репозиции, которая требует абсолютной стабильности, которая в свою очередь возможноа только в условиях межфрагментарной компрессии. Пластина уложена как мостовидная, не хватает стягивающнго винта. 2) есть укорочение малоберцовой кости, необхордимо восстановить ее длину! В таком виде я бы не стал разрешать раннюю нагрузку. Добавить самую малость: стягивающий винт и остеосинтез малоберцовой кости и больной может наступать сразу.
С уважением А.Семенистый
|
[
Ответить ]
|
Re: пластина или гвоздь?
Отправитель: А.Миронов 10 Декабрь 2006, 11:08
|
Спасибо за критику!
>Вы добивались анатомичной репозиции, которая требует абсолютной стабильности, которая в свою очередь возможноа только в условиях межфрагментарной компрессии. Пластина уложена как мостовидная, не хватает стягивающнго винта
Полностью с Вами согласен, если остеосинтез выполняется открыто, удаляется гематома с обл. перелома, требуется анатомиччная репозиция и аксиальная+межфрагментарная компрессия.
В этом случае остеосинтез выполнялся малоинвазивно и я не добивался абсолютной стабильности преднамеренно. Стабильность относительная и ст. её зависит от механических свойств импланта;возможно, нужно было взять длиннее пластину, увеличив её рабочую длину
> есть укорочение малоберцовой кости, необхордимо восстановить ее длину
А Вы всегда оперируете м\берцовую кость? Здесь вроде г/стопный сустав напрямую незаинтересован.
А при условии ранней нагрузки в какие сроки у Вас больные выписываются к труду? Насколько быстрее полностью восстанавливается функция?
А.Миронов
|
[
Ответить ]
|
Re: пластина или гвоздь?
Отправитель: Алексей Семенистый 10 Декабрь 2006, 20:07
|
Приветствую!
>>межфрагментарной компрессии. Пластина уложена как мостовидная, не хватает стягивающнго винта
>В этом случае остеосинтез выполнялся >малоинвазивно и я не добивался абсолютной >стабильности преднамеренно. Стабильность >относительная и ст. её зависит от механических >свойств импланта;возможно, нужно было взять >длиннее пластину, увеличив её рабочую длину
Все справедливо для оскольчатого перелома, когда вы не добиваетесь анатомичной репозиции. При простом переломе адекватной будет анатомичная репозиция, и она у Вас получилась закрыто. Если Вы изначально предполагали относительную стабильность, то штифт позволил бы более раннюю и агрессивную реабилитацию
>А Вы всегда оперируете м\берцовую кость?
При переломах 43 - да, с нее и начинаем.
>Здесь вроде г/стопный сустав напрямую незаинтересован.
М\б кость укорочена, а это создает предпосылки к вторичной вальгусной деформации даже с LCP, спросите у Виталия Дрягина.
>А при условии ранней нагрузки в какие сроки у >Вас больные выписываются к труду?
Само по себе восстановление трудоспособности (закрытие б\листа) не очень объективный критерий, так ка условия труда у всех разные.
Для служащих это 4-10 недель (с таким переломом),.. был акробат из цирка, у него 20 недель
>Насколько быстрее полностью восстанавливается функция?
На столько на сколько раньше начать полную безболезненную (и безбоязненную) нагрузку
С уважением, А.Семенистый
|
[
Ответить ]
|
Re: пластина или гвоздь?
Отправитель: А. Миронов 11 Декабрь 2006, 18:40
|
Здравствуйте Алексей Юрьевич!
>>Все справедливо для оскольчатого перелома, когда вы не добиваетесь анатомичной репозиции. При простом переломе адекватной будет анатомичная репозиция, и она у Вас получилась закрыто.
Раньше я так и поступал. При MIPO простых переломов при условии анатомичной репозиции стягивающий винт как правило через пластину проводил. Было несколько случаев замедленного сращения, приходилось выполнять динамизацию перелома(удалять стягивающий винт), после чего наступало сращение. Аналогичный пример приводил Dr. К.Rif на симпозиуме по LCP фиксаторам.
В последствии стал выполнять мостовидную фиксацию не только при оскольчатых переломах, но и при простых, прооперировал около 30 голеней, сращение наступило у всех периостальной мозолью.
> Если Вы изначально предполагали относительную стабильность, то штифт позволил бы более раннюю и агрессивную реабилитацию
В губчатой кости, если винт не блокируется в импланте, что справедливо для гвоздей, ротационная и угловая стабильность, на мой взгляд, значительно хуже.
>>А Вы всегда оперируете м\берцовую кость?
При переломах 43 - да, с нее и начинаем.
М\б кость укорочена, а это создает предпосылки к вторичной вальгусной деформации даже с LCP, спросите у Виталия Дрягина.
Я с Вами согласен если речь идёт о переломах пилона, когда м/берцовую кость надо оперировать на любом уровне или внесуставных метаф.переломах с повреждением наружней лодыжки.
С Уважением А.Миронов
|
[
Ответить ]
|
Re: пластина или гвоздь?
Отправитель: Алексей Семенистый 12 Декабрь 2006, 01:18
|
А.М.>Было несколько случаев замедленного сращения, приходилось выполнять динамизацию перелома(удалять стягивающий винт), после чего наступало сращение. Аналогичный пример приводил Dr. К.Rif на симпозиуме по LCP фиксаторам.
Да, LCP показывают иногда сверхстабильность особенно, если репозиция чуть-чуть неанатомичная, и динамизация в этом случае только на пользу.
А.М.>В губчатой кости, если винт не блокируется в импланте, что справедливо для гвоздей, ротационная и угловая стабильность, на мой взгляд, значительно хуже.
С тремя дистальными блокирующими винтами в гвозде ротационная и угловая стабильность самого отломка относительно дистальной же части имплантата ниже конечно, чем с 3-ми винтами в LCP, но вполне достаточна. А вот осевая стабильность штифта, особенно усталостная, значительно выше.
А.М.>Я с Вами согласен если речь идёт о переломах пилона, когда м/берцовую кость надо оперировать на любом уровне
Так речь и идет о переломе пилона. Пилон это не только 43С (С - это наиболее тяжелый вариант). Вспомните лекцию Дрягина.
А.М.>или внесуставных метаф.переломах с повреждением наружней лодыжки.
Не только перелом наружной лодыжки (это лишь часть м\б кости), но и любое повреждение м\б кости, сопровождающееся ее укорочением и\или ее ротационной нестабильностью, приводит к проблемам в голеностопном суставе.
С уважением А.Семенистый
|
[
Ответить ]
|
Re: пластина или гвоздь?
Отправитель: А.МИронов 12 Декабрь 2006, 20:35
|
>Не только перелом наружной лодыжки (это лишь часть м\б кости), но и любое повреждение м\б кости, сопровождающееся ее укорочением и\или ее ротационной нестабильностью, приводит к проблемам в голеностопном суставе.
То есть Вы оперируете любой смещенный перелом м/берцовой кости, независимо от уровня перелома б/берцовой кости. Или я Вас не так понял.
С Уважением А.Миронов
|
[
Ответить ]
|
Re: пластина или гвоздь?
Отправитель: Алексей Семенистый 13 Декабрь 2006, 00:41
|
Приветствую!
>То есть Вы оперируете любой смещенный перелом м/берцовой кости, независимо от уровня перелома б/берцовой кости. Или я Вас не так понял.
Если это перелом 44 - да, 43-да, 41-нет, 42- со штифтом в б\б кости как правило нет, кроме: если определяется остаточная нестабильность г\ст сустава - да, оскольчатый б\б на одном уровне с м\б - да\нет. Общий алгоритм такой. Конечно м\б кость в верхней 1\3 - нет (если есть необходимость восстановления ее длины, то диафиксация позиционным винтом)
С уважением А.Семенистый.
|
[
Ответить ]
|
Re: пластина или гвоздь?
Отправитель: А.Миронов 13 Декабрь 2006, 19:54
|
Спасибо за дискуссию. Надеюсь встретимся в Москве в марте на симпозиуме.
А.Миронов
|
[
Ответить ]
|
Re: пластина или гвоздь?
Отправитель: Дрягин 09 Декабрь 2006, 09:10
|
Я стараюсь не считать средства больного это его проблемы поэтому к российским фиксаторам отношусь с осторожностью.Даже к самым хорошим.Гвоздь будем давать меньшую стабильность."Эксперт" возможен и думаю даже показан, но сроки нетрудоспособности будут теже,а пластина лучше. Жду в Челебинск покажу наи результаты по пластинам. Попробую убедить Вас в обратном.С уважением Дрягин.
|
[
Ответить ]
|
Re: пластина или гвоздь?
Отправитель: Alexaander Chelnokov 09 Декабрь 2006, 21:18
|
Д> Я стараюсь не считать средства больного
Д> это его проблемы
То есть любой пациент должен дать карт-бланш тратить его средства без счета? Гм. Возможно, некоторые пациенты и будут возражать против снижения их личных расходов на лечение (при обеспечении желаемого результата), но вряд ли их будет большинство даже в Москве. Выражение "некрасиво считать деньги в чужом кармане" имеет, мягко говоря, другой смысл.
Д> поэтому к российским фиксаторам отношусь с осторожностью. Даже к самым
Д> хорошим.
Во-1-х, надо к любым относиться с осторожностью. Во-2-х, мало слепой веры в брэнд - надо знать свойства, особенности и недостатки применяемого фиксатора, в том числе недокументированные, а то и
умалчиваемые поставщиками, и соотносить их с требованиями ситуации.
В-3-х, реально имеющееся и вроде бы полезное свойство может не иметь клинического значения в конкретной ситуации. Качество полировки может быть критично для выживания ножки эндопротеза, но безразлично для штифта или пластины, которым работать всего несколько месяцев.
Д> Гвоздь будем давать меньшую стабильность.
Не меньшую - просто другой ее вид. Несостоятельность с разрушением фиксатора мы встречаем куда чаще с пластинками.
Д> "Эксперт" возможен и думаю даже показан, но сроки
Д> нетрудоспособности будут те же,
Эксперт тут вполне подойдет, действительно. Насчет сроков трудоспособности тех же - не уверен, может, и меньше. Ходить без ограничения нагрузки со штифтами мы разрешаем сразу (если суставная поверхность не повреждена) - с пластинами так же?
Д> а пластина лучше.
При внесуставном переломе гвоздь и требует меньших резрезов, и нет имплантата прямо под кожей, и можно не ограничивать нагрузку сразу, и расходы в разы меньше, и несращений меньше, а лучше пластина? И в чем ее "лучшесть" выражается?
Д> Жду в Челебинск покажу наши результаты по пластинам. Попробую
Д> убедить Вас в обратном.
Непременно увидимся. Только чур с оценкой эффективности, т.е. затрат сил, средств и времени.
|
[
Ответить ]
|
|
Re: пластина или гвоздь?
олег 11 Декабрь 2006, 15:43
|
Мы используем гвоздь с блокиорованием,остеосинтез закрытый с рентген-контролем.Удачи!
|
[
Ответить ]
|
Re: пластина или гвоздь?
Ивушкин Роман 12 Декабрь 2006, 18:41
|
А почему бы, не мудрствуя лукаво, не провести остеосинтез 2-3 винтами? И операционная травма небольшая и интерпозицию наверняка можно устранить (судя по перелому она должна быть). Учитывая локализацию перелома (метафиз), консолидация должна быть достаточно быстрая. Поэтому сроки гипсовой иммобилизации(без коленного сустава) можно ограничить 6-7 неделями, затем ЛФК голеностопного сустава, а с 9-10 недели начать осевую нагрузку(естественно производя рентген-контроль на каждом этапе).
А вот на счет блокируемого штифта не уверен - уж очень низкий перелом.
|
[
Ответить ]
|
Re: пластина или гвоздь?
Отправитель: Дрягин 13 Декабрь 2006, 21:36
|
Если говоритьоб операции то о цивилизованной и полноценной.Поэтому о винтах говорить не стоит, а то так можно и до скелетного вытяжения дойти, которое никто не отменял.Вопрос же что лучше.С уважением
|
[
Ответить ]
|
Re: пластина или гвоздь?
Отправитель: Castro 24 Декабрь 2006, 23:55
|
Esli hotete, to, na moi vzglad', odnoznachno luche konservotivno lechit' takogo pereloma! luboi mozet ego i shtevtovat' i plastinoi fixirovat' i t.d. i t.p.. no takogo pereloma, dla blonoi, luche lechit' konservotivno,ili minimalno ivazivnmo a unuchtozit' kostno mozgovoi kanal net takoi zeznennoi niobhodimosty
|
[
Ответить ]
|
Re: пластина или гвоздь?
Отправитель: Alexander Chelnokov 25 Декабрь 2006, 19:13
|
Несколько лет назад был пациент с аналогичным переломом, отчего-то решили полечить консервативно. В итоге он 9 мес. провел в гипсовых повязках. Любой хирургический вариант (малоинвазивная пластина, как и сделали коллеги, или гвоздь, или аппарат) позволят пациенту и анатомию хорошую получить, и восстановиться раньше. А костно-мозговой канал жалеть не надо, ничего там такого уж незаменимого нет.
|
[
Ответить ]
|
|
( Ответить )
|
|