AOTRAUMA.ORG Центр Илизарова  

Ортопедия и травматология Общие вопросы/General questions Help Информационные технологии в медицине
 вверх
 отправить
 поиск
 админ
 главная
 Предыдущее
 Весь тред


Re: Неправильно консолидирующий перелом
Микаэл Сувалян 04 Апрель 2007, 11:43


История больного, о котором я говорил выше. Не удивляйтесь изложенному
материалу (выдержка из диссертационной работы).

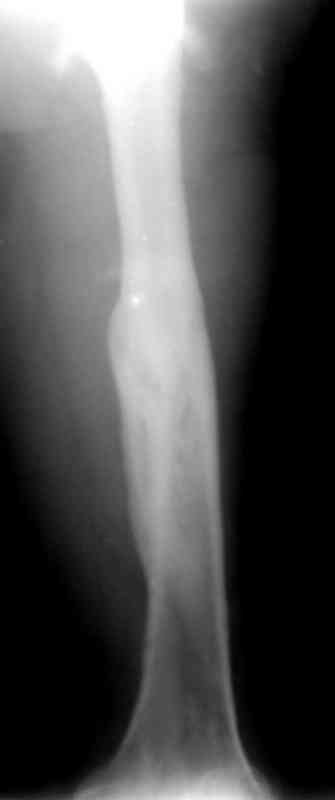
Больной А., 28 лет, поступил в НИИ им. Н.В. Склифосовского 22.12.99 после падения на улице. Жалобы на боли в области левого тазобедренного сустава и левом бедре. Из анамнеза следовало, что 20.06 во время прыжка с парашютом у него возник закрытый оскольчатый перелом средней трети левой бедренной кости со смещением отломков, по поводу чего в одной из ЦРБ Московской области через 3 дня после травмы был произведен открытый интрамедуллярный остеосинтез штифтом типа Кюнчера.
Послеоперационное течение было гладким. Больной ходил при помощи костылей с дозированной нагрузкой на оперированную конечность.При осмотре в НИИ им. Н.В. Склифосовского через 6 месяцев после травмы:
левое бедро и левый коленный сустав несколько увеличены в объеме, отечны, пальпаторно определяется болезненность в средней трети бедра;
по его наружной поверхности послеоперационный рубец - рана зажила первичным натяжением. При измерении длины бедер обнаружено укорочение левого бедра на 4,5 см. На рентгенограммах этого бедра: ось конечности правильная, отмечается захождение основных костных фрагментов по длине, проксимальный конец штифта выступает слишком медиально и высоко относительно большого вертела, периостальная мозоль незначительна.22.12 - через 6 месяцев после операции, произведенной в ЦРБ, нами по поводу замедленно консолидирующего перелома левой бедренной кости с ее абсолютным укорочением под наркозом произведена операция: удаление штифта, закрытый блокирующий интрамедуллярный остеосинтез перелома левого бедра штифтом без рассверливания (UFN) длиной 40 см, диаметром 10 мм с блокированием только проксимальных отверстий (динамический остеосинтез). Наложен аппарат Илизарова на 4 полукольцах с целью удлинения укороченного бедра. Послеоперационное течение без особенностей. Ежедневно осуществляли дистракцию отломков на 1 мм. Через 3 недели после операции больной выпи-сан на амбулаторное лечение с продолжением дистракции отломков. В течение 1,5
месяцев дистракции укорочение левого бедра удалось полностью устранить. 22.02.00, т.е. через 2 месяца после повторного остеосинтеза, больному произведено дистальное блокирование штифта двумя винтами и демонтирован аппарат Илизарова. В течение 2 недель после операции больной ходил с помощью костылей, потом 2 недели с тростью. Опороспособность и функция оперированной конечности полностью восстановились через 4 недели после операции.
Фиксаторы удалены через 12 месяцев после операции, выполненной по поводу замедленной консолидации перелома бедра с его укорочением.
  • Сообщения о Ортопедия и травматология
  • Также Микаэл Сувалян
  • Связаться с автором
  • Ответить

    Re: Неправильно консолидирующий перелом
    Игорь Сергеевич 05 Апрель 2007, 01:16
    Спасибо! Истинно мастерская работа. Представляю как счастлив пациент исходом этой истории.
    На финальных снимках видно - сращение прям таки железное. Если Вы не устали отвечать, осмелюсь задать еще вопрос - что-то принимал пациент в целях ускорения сроста (кальций, режим питания). Интересны также вопросы восстановления функций конечности - в какой период были рекомендованы группы упражнений для восстановления основных групп мышц?

    [ Ответить ]

    • Re: Неправильно консолидирующий перелом
      Отправитель: Alexaander Chelnokov 05 Апрель 2007, 15:24
      ИС> устали отвечать, осмелюсь задать еще вопрос - что-то принимал пациент
      ИС> в целях ускорения сроста (кальций, режим питания).


      Остается только удивляться стойкости этого мифа.
      Есть какой-то смысл при остеопорозе принимать бифосфонаты или соматотропин в сочетании с препаратами кальция - но только для профилактики последующих переломов. Не существует никаких
      "ускорительных" диет, и ни кальций, ни витамины к уже имеющемуся перелому отношения не имеют.

      ИС> Интересны также вопросы восстановления функций конечности - в
      ИС> какой период были рекомендованы группы упражнений для


      Функциональные ограничения исчезают немедленно после штифтования.
      Неограниченная нагрузка также возможна немедленно при условии, что использован гвоздь с запирающими винтами диаметром более 5 мм.


      [ Ответить ]

     

    ( Ответить )

    Powered by Zope  Squishdot Powered MedLink
    Посетитель: 0412143
      "По форме правильно, а по существу - издевательство" В.И.Ленин
    ©2001-2019Orthoforum Coordinator.
    [ Главная | Отправить сообщение | Поиск | Админ ]