AOTRAUMA.ORG Центр Илизарова  

Ортопедия и травматология Общие вопросы/General questions Help Информационные технологии в медицине
 вверх
 отправить
 поиск
 админ
 главная
 Предыдущее
 Весь тред


Re: Неправильно консолидирующий перелом
Виктор 03 Апрель 2007, 17:03
Буду благодарен за высланные материалы!
Я так понял, в Вашем случае была исправлена только ротация или вальгус тоже?
По вопросу наличия штифтов - доступно многое, вопрос только в выборе методики, наиболее гарантироющей
выравнивание конечности и обеспечивающей срост. Чтоб решить проблему один раз - без последующих переделок.
  • Сообщения о Ортопедия и травматология
  • Также Виктор
  • Связаться с автором
  • Ответить

    Re: Неправильно консолидирующий перелом
    Alexander Chelnokov 03 Апрель 2007, 18:55
    Несколько обсуждений на подобные темы см.
    http://weborto.net/forum/1158873835/
    http://weborto.net/forum/1142229024/,
    http://weborto.net/forum/1075265258/
    [ Ответить ]

    Re: Неправильно консолидирующий перелом
    Микаэл Сувалян 04 Апрель 2007, 11:43


    История больного, о котором я говорил выше. Не удивляйтесь изложенному
    материалу (выдержка из диссертационной работы).

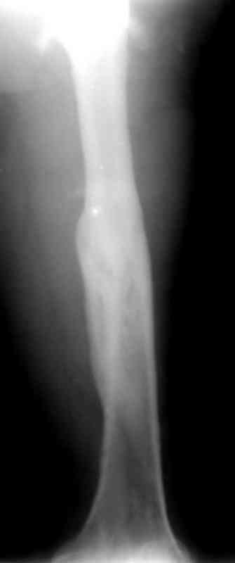
    Больной А., 28 лет, поступил в НИИ им. Н.В. Склифосовского 22.12.99 после падения на улице. Жалобы на боли в области левого тазобедренного сустава и левом бедре. Из анамнеза следовало, что 20.06 во время прыжка с парашютом у него возник закрытый оскольчатый перелом средней трети левой бедренной кости со смещением отломков, по поводу чего в одной из ЦРБ Московской области через 3 дня после травмы был произведен открытый интрамедуллярный остеосинтез штифтом типа Кюнчера.
    Послеоперационное течение было гладким. Больной ходил при помощи костылей с дозированной нагрузкой на оперированную конечность.При осмотре в НИИ им. Н.В. Склифосовского через 6 месяцев после травмы:
    левое бедро и левый коленный сустав несколько увеличены в объеме, отечны, пальпаторно определяется болезненность в средней трети бедра;
    по его наружной поверхности послеоперационный рубец - рана зажила первичным натяжением. При измерении длины бедер обнаружено укорочение левого бедра на 4,5 см. На рентгенограммах этого бедра: ось конечности правильная, отмечается захождение основных костных фрагментов по длине, проксимальный конец штифта выступает слишком медиально и высоко относительно большого вертела, периостальная мозоль незначительна.22.12 - через 6 месяцев после операции, произведенной в ЦРБ, нами по поводу замедленно консолидирующего перелома левой бедренной кости с ее абсолютным укорочением под наркозом произведена операция: удаление штифта, закрытый блокирующий интрамедуллярный остеосинтез перелома левого бедра штифтом без рассверливания (UFN) длиной 40 см, диаметром 10 мм с блокированием только проксимальных отверстий (динамический остеосинтез). Наложен аппарат Илизарова на 4 полукольцах с целью удлинения укороченного бедра. Послеоперационное течение без особенностей. Ежедневно осуществляли дистракцию отломков на 1 мм. Через 3 недели после операции больной выпи-сан на амбулаторное лечение с продолжением дистракции отломков. В течение 1,5
    месяцев дистракции укорочение левого бедра удалось полностью устранить. 22.02.00, т.е. через 2 месяца после повторного остеосинтеза, больному произведено дистальное блокирование штифта двумя винтами и демонтирован аппарат Илизарова. В течение 2 недель после операции больной ходил с помощью костылей, потом 2 недели с тростью. Опороспособность и функция оперированной конечности полностью восстановились через 4 недели после операции.
    Фиксаторы удалены через 12 месяцев после операции, выполненной по поводу замедленной консолидации перелома бедра с его укорочением.
    [ Ответить ]

    • Re: Неправильно консолидирующий перелом
      Отправитель: Игорь Сергеевич 05 Апрель 2007, 01:16
      Спасибо! Истинно мастерская работа. Представляю как счастлив пациент исходом этой истории.
      На финальных снимках видно - сращение прям таки железное. Если Вы не устали отвечать, осмелюсь задать еще вопрос - что-то принимал пациент в целях ускорения сроста (кальций, режим питания). Интересны также вопросы восстановления функций конечности - в какой период были рекомендованы группы упражнений для восстановления основных групп мышц?


      [ Ответить ]
      • Re: Неправильно консолидирующий перелом
        Отправитель: Alexaander Chelnokov 05 Апрель 2007, 15:24
        ИС> устали отвечать, осмелюсь задать еще вопрос - что-то принимал пациент
        ИС> в целях ускорения сроста (кальций, режим питания).


        Остается только удивляться стойкости этого мифа.
        Есть какой-то смысл при остеопорозе принимать бифосфонаты или соматотропин в сочетании с препаратами кальция - но только для профилактики последующих переломов. Не существует никаких
        "ускорительных" диет, и ни кальций, ни витамины к уже имеющемуся перелому отношения не имеют.

        ИС> Интересны также вопросы восстановления функций конечности - в
        ИС> какой период были рекомендованы группы упражнений для


        Функциональные ограничения исчезают немедленно после штифтования.
        Неограниченная нагрузка также возможна немедленно при условии, что использован гвоздь с запирающими винтами диаметром более 5 мм.


        [ Ответить ]

     

    ( Ответить )

    Powered by Zope  Squishdot Powered MedLink
    Посетитель: 0416536
      "По форме правильно, а по существу - издевательство" В.И.Ленин
    ©2001-2019Orthoforum Coordinator.
    [ Главная | Отправить сообщение | Поиск | Админ ]