Ответить
|
Re: Полер
Alexander Chelnokov 06 Апрель 2007, 23:27
|
СМ> кажется, правильным было бы указывать не винты, а методику. Винты для
СМ> этого используются обычные 4,5 мм.
Удобнее те же самые, каким гвоздь запирается, они саморезы. А еще удобнее - просто спицы.
СМ> Методика используется обычно при переломах в нижней трети бедра и
СМ> большеберцовой кости.
А также в верхней трети бедра (вчера там использовал как раз ;-) и tibia, и верхней трети плеча.
СМ> переломом вводят винты, по которым штифт, как бы скользит и занимает
СМ> нужное положение в кости.
Обычно достаточно винта или спицы с одной стороны.
СМ> На самом деле, стоит один раз взглянуть на схематичное изображение
СМ> этой операции и станет все ясно без каких-либо объяснений. Думаю, что
Будем надеяться. См. приложения.

|
[
Ответить ]
|
Re: Полер
Отправитель: Сувалян Микаэл 06 Апрель 2007, 23:58
|
Очень было бы любопытно посмотреть поэтапные Р-снимки с ЭОПа (хотя понимаю, что во время операции не хочется тратить время на учебный процесс, но методика очень интересна и точно заслуживает внимания). К сожалению, мы в своей практике зачастую пренебрегаем имеющейся угловой деформации отломков из-за недостака времени (оперируем по 4 операции в день с понедельника по чевтерг включительно, т.е. 16 операций в месяц на 2 травматологических отделения по 60 коек каждый). Позже 14:00 нельзя брать больных на операцию, поэтому приходится работать иногда в авральном режиме лишь бы не отменили последнюю операцию:( Я все это к тому, что применяя "поляры", рискуешь быть заклеванным всей ордой операционной бригады:)У нас НИКОГДА еще их не применяли. Встречал публикации только в зарубежной литературе.
К слову сказать об учебном процессе: у Павла Иванова на прошлой неделе был очень любопытный случай с удалением сломанного штифта из бедра. Очень тяжелая была операции, и было бы не лишним изложить здесь ход операции и продемонстировать один из рабочих снимков. Намекните ему:)
|
[
Ответить ]
|
Re: Полер
Отправитель: Alexander Chelnokov 07 Апрель 2007, 01:25
|
> Очень было бы любопытно посмотреть поэтапные Р-снимки с ЭОПа (хотя
В приложении пример, как их использовали после остеотомии бедра по поводу сросшегося с вальгусом перелома, чтобы не дать гвоздю уйти во внутренний мыщелок.

> К сожалению, мы в своей практике зачастую пренебрегаем имеющейся
> угловой деформации отломков из-за недостака времени (оперируем по 4
Сейчас Poller спицы мы зачастую вводим сразу после обработки сегмента, еще до разреза и введения штифта, это не отнимает много времени. А углы иной раз бывают без них ой какие заметные.
> каждый). Позже 14:00 нельзя брать больных на операцию,
У нас тоже с недавнего времени такое придумали, у вас чем мотивируют?
> рискуешь быть заклеванным всей ордой операционной бригады:) У нас
Именно из-за них минут 5-10 надо. Иной раз застрянешь надольше и без них, а они как раз помогают сразу ось хорошую получить.
> К слову сказать об учебном процессе: у Павла Иванова на прошлой
[...]
> Намекните ему:)
Будем надеяться, у Павла остались силы поделиться опытом с коллегами.
|
[
Ответить ]
|
Re: Полер
Отправитель: Сувалян Микаэл 07 Апрель 2007, 12:00
|
Да, действительно красивый клинический пример: виден вальгус до операции и последующая коррекция углового смещения на "полярах". Я так понимаю, что в вашей клинике есть возможность использовать различные фиксаторы. Почему не использовали DFN? Спицы какие используете? Киршнера или Илизаровские? С виду очень тонкие...
Мотивая зав. оперблоком: "у сестер рабочий день до 15:30"...соответственно, если начинается операция позже 14.00, то они уходят с работы значительно позже (еще нужно время на уборку операционной).
|
[
Ответить ]
|
Re: Полер
Отправитель: Alexander Chelnokov 07 Апрель 2007, 19:24
|
> фиксаторы. Почему не использовали DFN?
В смысле, почему не ретроградно? При дистальных переломах или их последствиях и так с коленом может быть не все в порядке, и чрессуставное введение гвоздя состояние колена как имнимум не улучшает. Поэтому наиболее дистальные как раз штифтуем обычно антеградно. Хотя 20-25% бедер штифтуем ретроградно, но более проксимальных.
А на DFN свет клином не сошелся, мы используем отечественные штифты (MetaDiaFix, "ЦИТО"), которые можно вводить и ретроградно (4 винта), кроме того, в качестве ретроградного бедренного замечательно подходит большеберцовый гвоздь диаметром 12 мм.
> Спицы какие используете? Киршнера или Илизаровские? С виду очень тонкие..
Какие есть потолще, 1,8-2 мм.
> Мотивая зав. оперблоком: "у сестер рабочий день до
> 15:30"...соответственно, если начинается операция позже 14.00, то
Это, наверно, тоже. У нас называют основную причину - чтобы соблюсти санэпидрежим, мол, если будем оперировать дольше, то оперблок не будет успевать "выстаиваться" и будет много инфекционных осложнений :-/
Хотя видел, как в ЦИТО операции заканчивали много позже 18 часов, без демонстраций протеста среднего медперсонала...
|
[
Ответить ]
|
Re: Полер
Отправитель: Сувалян Микаэл 07 Апрель 2007, 19:56
|
Хмм..интересные мысль на счет использования большеберцового гвоздя...опять же, хочется наглядности:)
.. я в Штатах видел, как в 11 вечера заканчивали плановую операцию... хотя не показатель, видимо... да и микробы там другие, более благоприятные:)
|
[
Ответить ]
|
Re: Полер
Отправитель: Alexander Chelnokov 08 Апрель 2007, 10:15
|
> Хмм..интересные мысль на счет использования большеберцового
> гвоздя...опять же, хочется наглядности:)
В приложении как раз видна эволюция использововшихся у нас большеберцовых гвоздей. Первый - дизайн как у UTN, второй - разнесены 45 градусные отверстия (зачем их вообще изначально так нелепо на одном уровне сделалм???), третий - убрано сиавшее лишним статическое отверстие, Herzog's bend перемещен более проксимально.

> ... я в Штатах видел, как в 11 вечера заканчивали плановую операцию...
> хотя не показатель, видимо... да и микробы там другие, более благоприятные:)
Насчет микробов у них вообще порядки другие сильно. И лампочек ультафиолетвых даже, говорят, нету... И после удаление нагноившегося фиксатора через час в той же операционной чистый остеосинтез берут.
|
[
Ответить ]
|
Re: Полер
Отправитель: Сувалян Микаэл 08 Апрель 2007, 15:05
|
Забавненько смотрится... "век живи, век учись", как говорится. А чья мысль использовать блокируемые штифты для б/берцовой кости при переломах бедра? Такое встречалось где-то в литературе или это ваше ноу-хау?
|
[
Ответить ]
|
Re: Полер
Отправитель: Alexander Chelnokov 08 Апрель 2007, 16:04
|
> Забавненько смотрится... "век живи, век учись", как говорится.
Некоторые этот вариант воспринимают чуть ли не как покушение на святое, мол, если "Дарованная Нам Свыше Оригинальная Методика" не предусматривает такое, то это ересь и крамола. Хотя тут все самоочевидно - необходимый результат достигается.
> А чья мысль использовать блокируемые штифты для б/берцовой кости
> при переломах бедра? Такое встречалось где-то в литературе или это
И в литературе есть:
=========================================
Rodgers WB, Kennedy JG, Coran DL, Goodman LJ, Lhowe DW. Retrograde intramedullary nailing of the femur using a tibial nail--the adjunctive use of an existing implant: a case report. Bull Hosp Jt Dis. 1996;55(2):78-80.
=========================================
Эту ссылку нашли, есссно, после того, как уже стали делать ;-)
Насколько я помню, мы использовали этот вариант после знакомства с гвоздями SIGN, которые вообще одинаковые для бедра и голени, и дизайн у них большеберцовый.
|
[
Ответить ]
|
Re: Полер
Отправитель: Pavel Ivanov 08 Апрель 2007, 10:19
|
Пациент, о котором упомянул Микаэл, был выписан домой в четверг. Рентгеновские снимки у него на руках. Он приедет в понедельник-вторник на контрольный осмотр и снятие швов, мы переснимем рентгенограммы и представим их уважаемым коллегам.
|
[
Ответить ]
|
Re: Полер
Отправитель: Pavel Ivanov 11 Апрель 2007, 13:18
|
СМ>> К слову сказать об учебном процессе: у Павла Иванова на прошлой неделе
СМ>> был очень любопытный случай с удалением сломанного штифта из бедра.
AC>> Будетм надеяться, у Павла остались силы поделиться опытом с коллегами.
Как обещал, выкладываю рентгенограммы нашего пациента.
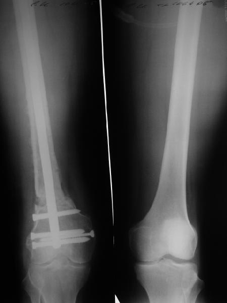
Пациенту М., 30-ти лет, 1,5 года назад в одной из московских больниц был выполнен остеосинтез бедренной кости штифтом UFN (диаметр штифта 9 мм).
К нам больной поступил с признаками ложного сустава бедренной кости, перелома
штифта и дистального блокирующего винта (images 1,2,3).

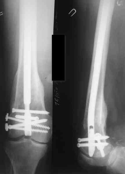
27 марта выполнено удаление блокирующих винтов (сломанный винт пришлось высверливать цапфен-бором), сломанного штифта (дистальный фрагмент удален через канал, образованный разверткой из коленного сустава - image 4),

рассверливание костно-мозгового канала, реостеосинтез штифтом UFN (при проведении штифта в дистальном отломке мы использовали поляризующий винт, диаметр штифта 10 мм). После операции в связи гемартрозом дважды (на 1 и 3 сутки) выполняли пункцию коленного сустава. Сейчас признаков скопления жидкости в полости сустава нет. Послеоперационные рентгенограммы - images 5, 6, 7.

Best regards,
Pavel Ivanov
Sklifosovsky Clinical and Research Institute for Emergency Medicine
Polytrauma Department
3, Bolshaya Sukharevskay sq.
Moscow, 129090 Russia
|
[
Ответить ]
|
Re: Полер
Отправитель: Алексей Семенистый 11 Апрель 2007, 13:23
|
Все здорово! Но, 1)- почему штифт 10мм, а не больше?, 2) - проксимальное блокирование одним вмнтом в статическом положении?
С уважением, А.Семенистый.
ГКБ 13, Москва.
|
[
Ответить ]
|
Re: Полер
Отправитель: Pavel Ivanov 11 Апрель 2007, 13:36
|
Ну, Микаэл Аветисович! Ну, Александр Николаевич! Удружили! Спасибо вам огромное!
И зачем надо было просить меня выкладывать снимки этого пациента!?
А ведь так все хорошо начиналось. Мы больного прооперировали, выписали, он нас поблагодарил. Все довольны.
Мы сидим пьем чай с сахаром. И тут вдруг - "Расскажите-ка про этого больного.".
О-па! Но ничего не поделаешь - надо рассказывать.
Теперь придется иметь бледный вид и придумывать объяснения с оправданиями на разные вопросы.
Ну, Александр!!! Ну, Микаэл!!!
Уважаемый Алексей.
Вы писали:
> Все здорово! Но, 1)- почему штифт 10мм, а не больше?, 2) - проксимальное
> блокирование одним вмнтом в статическом положении?
1) Мы располагали штифтом только данного диаметра.
2) По-поводу проксимлаьного блокирующего винта. Винт стоит на 3-5 мм выше нижнего
края динамического отверстия. Препятствий для компрессии отломков пока нет.
Best regards,
Pavel Ivanov
Sklifosovsky Clinical and Research Institute for Emergency Medicine
Polytrauma Department
3, Bolshaya Sukharevskay sq.
Moscow, 129090 Russia
|
[
Ответить ]
|
Re: Полер
Отправитель: Алексей Семенистый 11 Апрель 2007, 13:46
|
Приветствую, Павел!
Да я ж без упрека! Просто интересно. Насколько все непросто я представляю.
С уважением, А.Семенистый.
ГКБ 13, Москва.
|
[
Ответить ]
|
Re: Полер
Отправитель: Alexander Chelnokov 15 Апрель 2007, 23:58
|
> винт пришлось высверливать цапфен-бором),
Век живи, век учись. Что такое цапфен-бор?
Что-то типа корончатой фрезы?
> коленного сустава - image 4), рассверливание костно-мозгового
> канала,
До какого диаметра?
> реостеосинтез штифтом UFN (при проведении штифта в
> дистальном отломке мы использовали поляризующий винт,
Коллеги, давайте не будем вместо терминов использовать недоразумения. Никакой винт не "поляризующий", он не polar(izing), a poller.
В англоязычной литературе он еще blocking (блокирующий), в отличие от locking (запирающих), которые проходят сквозь отверстия в гвозде. По смыслу пододит еще "отклоняющий".
> диаметр штифта 10 мм).
Зато если придется еще раз перештифтовать - остается в резерве весь модельный ряд >10 мм.
Динамический винт у нижнего края отверстия оказался потому, что сколачивали по оси уже после его введения?
Спасибо за представление интересного примера!
|
[
Ответить ]
|
Re: Полер
Отправитель: Pavel Ivanov 16 Апрель 2007, 00:00
|
ac> Век живи, век учись. Что такое цапфен-бор?
ac> Что-то типа корончатой фрезы?
Да. Это немецкое название корончатой фрезы. Использую этот термин по привычке. Буду отвыкать - ведь это не патриотично.
>> коленного сустава - image 4), рассверливание костно-мозгового
>> канала,
ac> До какого диаметра?
Мы рассверливали канал разверткой до диаметра 11 мм.
<ш>ac> Динамический винт у нижнего края отверстия оказался потому, что
ac> сколачивали по оси уже после его введения?
Нет, отломки мы не сколачивали. Скорее всего это связано с неточностью примененного направителя.
--
Best regards,
Pavel Ivanov
Sklifosovsky Clinical and Research Institute for Emergency Medicine
Polytrauma Department
3, Bolshaya Sukharevskay sq.
Moscow, 129090 Russia
|
[
Ответить ]
|
Re: Полер
Отправитель: Alexandre Sitnik 13 Апрель 2007, 20:11
|
Александр,
по поводу Poller-спиц: если есть необходимость оставить их после операции из-за угрозы угловой деформации погружаете ли Вы их под кожу или оставляете на поверхности и когда удаляете?
Спасибо
А.Ситник
|
[
Ответить ]
|
Re: Полер
Отправитель: Alexander Chelnokov 13 Апрель 2007, 21:38
|
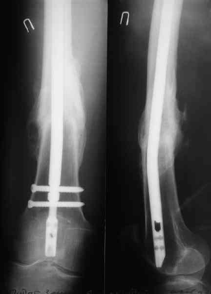
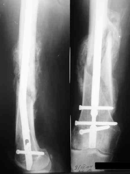
Спицы оставлять не надо. Надо их убрать, но перед этим ввести винт-poller. Такая необходимость возникает в редких случаях, когда можно ожидать смещения длинного отломка. Спицы из короткого отломка после введения запирающих винтов можно удалять без риска смещения.

В приложении пример, дистальный отломок пружинил кзади. Два винта потому, что первый оказался чуть кпереди и не упирался в гвоздь.
|
[
Ответить ]
|
Re: Полер
Отправитель: A Sitnik 14 Апрель 2007, 01:23
|
Cпасибо за комментарий, просто пару раз при замене спицы на винт ломал сверло - получалось poller-сверло :)
|
[
Ответить ]
|
|
( Ответить )
|
|