AOTRAUMA.ORG Центр Илизарова  

Ортопедия и травматология Общие вопросы/General questions Help Информационные технологии в медицине
 вверх
 отправить
 поиск
 админ
 главная
 Предыдущее


Re: перелом таза
Женя 31 Март 2010, 18:33



Уважаемые коллеги!
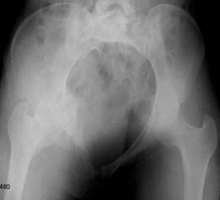
Серия до- и послеоперационных снимков этой пациентки. Хотя бы post factum обсудить. Не знаю, что можно сделать с задними отделами стержневым аппаратом, но три крепких парня открытым путем с помощью "волшебных" слов еле-еле смогли отрепонировать - сзади все было очень ригидно!

  • Сообщения о Ортопедия и травматология
  • Также Женя
  • Связаться с автором
  • Ответить

    Re: перелом таза
    Михаил 01 Апрель 2010, 01:43
    Здравствуйте, Евгений! У меня видна только дооперационная проекция inlet.
    [ Ответить ]

    Re: перелом таза
    Maxim Agalakov 12 Апрель 2010, 23:31
    я бы остановился на передней раме, операция - 30 мин, в таком варианте вроде бы репозиция - ничего, но когда давать нагрузку, ведь в лонном сочленении тоже есть подвижность? а если не давать - зачем операция?
    [ Ответить ]


    ( Ответить )

    Powered by Zope  Squishdot Powered MedLink
    Посетитель: 0193004
      "По форме правильно, а по существу - издевательство" В.И.Ленин
    ©2001-2019Orthoforum Coordinator.
    [ Главная | Отправить сообщение | Поиск | Админ ]