AOTRAUMA.ORG Центр Илизарова  

Ортопедия и травматология Общие вопросы/General questions Help Информационные технологии в медицине
 вверх
 отправить
 поиск
 админ
 главная
 Предыдущее
 Весь тред


Re: перелом луча
Victor Melnikov 14 Октябрь 2011, 01:43
Извините за позднее вмешательство в Вашу полемику. Хотелось начать по порядку. На мой субъективный взгляд одномоментного сочетание методов накостного и чрескостного остеосинтеза уменьшают достоинства обоих. Достоинства накостного остеосинтеза: более ранняя социальная реабилитация больного, т.к. не требуется специального ухода (как при использовании ЧКДО). Достоинство аппарата внешней дистракции - меньшая травматичность по сравнению с накостным остеосинтезом.
Касаемо замечаний д-ра Бахтамяна из г-да Ереван: при остеосинтезе пластинами с применением ладонного доступа - ладонный доступ выполняется проекции лучевого, что полностью исключает визуализацию срединного нерва, т.к. это является ошибкой хирурга и влечет за собой невропатию.
Что касается вариантов накостного остеосинтеза: возможно два варианта - остеосинтез волярной пластиной или фрагмент-специфическая фиксация отломков по Мedoff, но в связи с тем что перелом внутрисуставной очень часто требуется артротомия, т.к. наличие даже ЭОПа не обеспечивает точного восстановления суставной поверхности лучевой кости. Второй менее травматичный способ визуализации репозиции внутрисуставных отломков, признаный рутинным в ходе заседания EWAS в рамках FESSH 2010 (конгресс европейского общества хирургов кисти), проходивший в Бухаресте, это артроскопия кистевого сустава. Думаю данный способ вряд ли доступен в данном случае.
Остается как самый уместный способ - чрескостный остеосинтез с применением аппарата внешней фиксации: т.к. он весьма бюджетный и позволяет достичь необходимой репозиции.



Если есть необходимость пишите на мыло, поделюсь опытом и нюансами наложения дистракционного аппарата.
  • Сообщения о Ортопедия и травматология
  • Также Victor Melnikov
  • Связаться с автором
  • Ответить

    Re: перелом луча
    Савранский Александр 16 Октябрь 2011, 02:22
    Большое спасибо за участие в обсуждении.
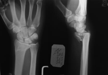
    Вариант чрескостного остеосинтеза обдумывался.
    Но при повторной репозиции с экстензией кисти к тылу было отмечено недостаточное смыкание отломков суставной фасетки луча.
    Учитывая,что при ЧКДО репозиция и удержание отломков происходит за счет лигаментотаксиса, мне более надежным показался вариант накостного остеосинтеза.
    P.S (дистрактор на предплечье накладывать случалось- особенно удобно при застарелых переломах с деформацией )
    [ Ответить ]

    • Re: перелом луча
      Отправитель: Victor 16 Октябрь 2011, 14:29
      Накостный остеосинтез более стабильный в данном случае жэто верно, но и более травматичный, т.к. достоверно выставить фасетку луча можно только при артротомии и визуальным контролем, ЭОП не всегда дает объективную картинку, либо с помощью артроскопа. Артротомия негативно скажется на дальнейшей функции кистевого сустава. Аппаратный метод в случае внутрисуставного перелома минимизирует травму от лечения и даже в случае неполной репозиции суставной фасетки функция кистевого сустава на выходе будет лучше и восстановится значительно быстрее. Мое очень субъективное мнение что накостный остесинтез более адекватен при внесуставных переломов дистального эпиметафиза лучевой кости, когда репозиция не требует выполнения артротомии.

      [ Ответить ]
    Re: перелом луча
    Антон Жаглин 16 Октябрь 2011, 13:58
    Виктор! А локтевая у Вас не в вывихе?
    [ Ответить ]

    • Re: перелом луча
      Отправитель: Victor 16 Октябрь 2011, 14:16
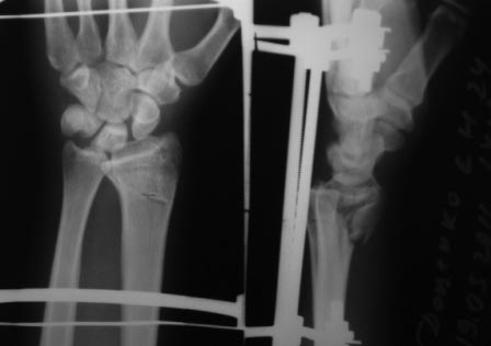
      Нет не в вывихе, т. К. Из-за спицы проведенной через обе кости предплечья, то ротационные движения и подвижность локтевой кости резко ограничены, это может в некоторых проекциях расцениваться как подвывих, если найду покажу финальный снимок, там все рентгенологические показатели восстановлены.

      [ Ответить ]
    Re: перелом луча
    Обухов Игорь 16 Октябрь 2011, 16:12
    Согласен с последним предложением относительно применения аппарата внешней фиксации. Повреждения луча по типу "переднего Бартона" очень хорошо закрыто устраняеются в АВФ, при этом завершающим элементом (после достижения репозиции посредством постепенной дистракции) может быть введение спицы с упором (конечно, вне проекции срединного нерва и сухожилий сгибателей пальцев)и обеспечение боковой компрессии переднего отломка к основному фрагменту.
    [ Ответить ]

    • Re: перелом луча
      Отправитель: Victor 17 Октябрь 2011, 14:05
      АВФ очень разнообразны, мы (отделеие хирургии кисти ГКБ 4 г. Москвы) используем только две полудуги и две штанги смонтированные на двух спицах Киршнера, проведенных через кости предплечья и основания 2-5 пясьных костей (аппарат Лазарева-Коршунова), дополнительных спиц не проводим.

      [ Ответить ]

     

    ( Ответить )

    Powered by Zope  Squishdot Powered MedLink
    Посетитель: 0000004
      "По форме правильно, а по существу - издевательство" В.И.Ленин
    ©2001-2019Orthoforum Coordinator.
    [ Главная | Отправить сообщение | Поиск | Админ ]