ВХОД ДЛЯ ПАЦИЕНТОВ
вверх
поиск
админ
главная
исходное
последующие
|
Re: Укорочение 2 пальца стопы
послал Бережной Сергей 22 Октябрь 2011, 15:17
|
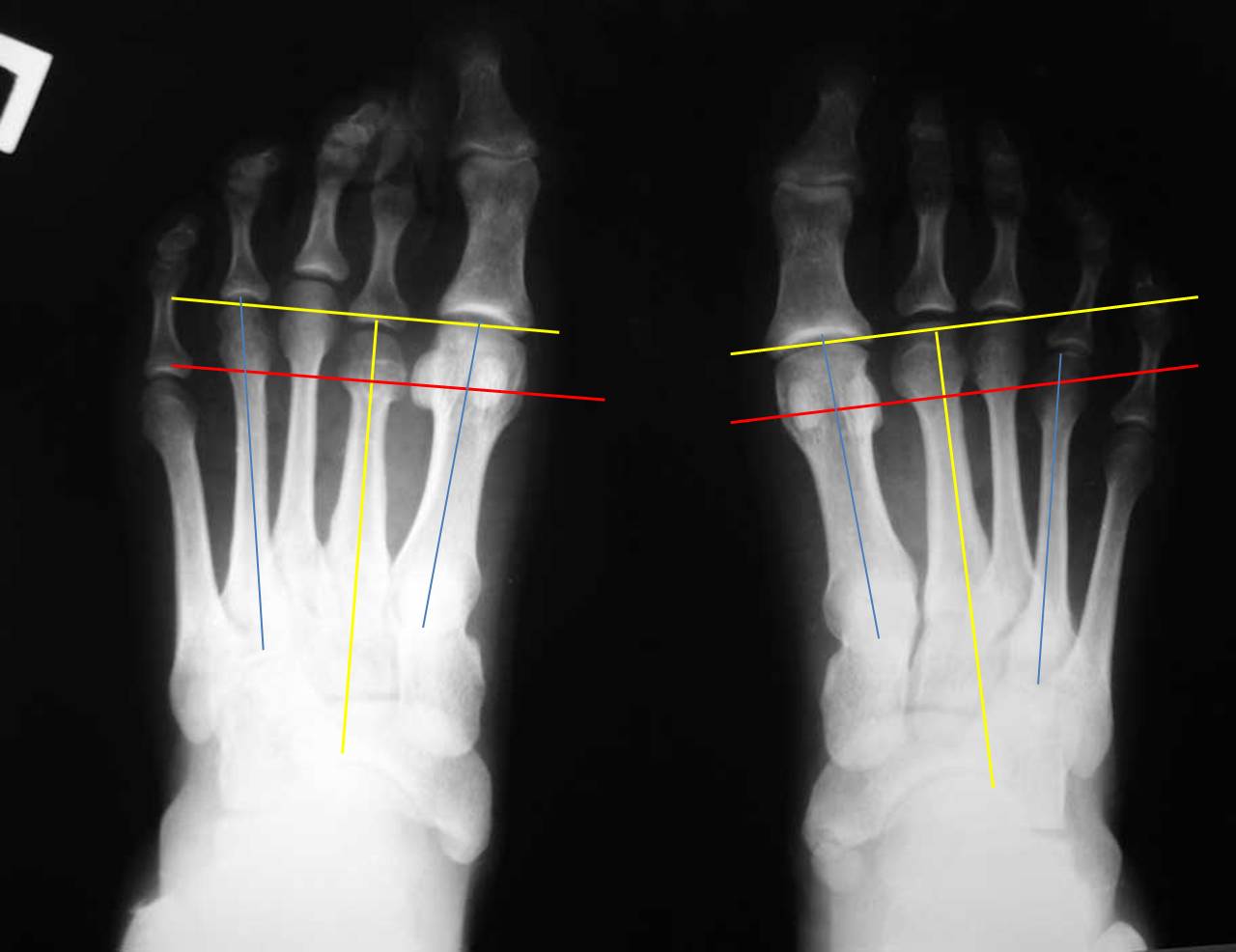
Доктору SAGo. Не знаю, каким образом Вы сравниваете длины плюсневых костей. Мне кажется, что с понятием формулы, или взаимоотношений длин плюсневых костей, которые определяют равномерность нагрузки на передний отдел стопы, Вы не очень знакомы. А это то, без чего невозможно правильно планировать любую операцию на стопе.

Я провел несколько ориентиров на представленных рентгенограммах, чтобы показать разницу в биомеханических ситуациях. На левой стопе перпендикуляр, проведенный к оси 2 плюсневой кости через дистальный конец 1 плюсневой (желтые линии) (принято за ориентир брать ось 2 плюсневой кости) проходит через верхушки 2 и 3 плюсневых. В нормальной ситуации 2 плюсневая кость должна быть чуть длинее 1-й. То есть на левой стопе можно говорить об относительно длинной 1 плюсневой кости. Именно этим объясняется наличие у молодой женщины признаков артроза 1 плюснефалангового сустава. А вот длина 4 плюсневой кости на левой стопе нормальная: перпендикуляр к оси 2 плюсневой проходит через середину латеральной сесамовидной кости и середину головки 4 плюсневой (красная линия). Теперь посмотрите на правую стопу: 3-я плюсневая кость намного длинее 1-й, а 4-я такой же длины. Такого в норме никак не может быть. А вот вторая при правильной разметке оказывается совсем чуть чуть короче первой. При этом абсолютная длина 1-й плюсневой (в милиметрах) у меня получилась на левой стопе даже больше, а длина 4 плюсневой на правой стопе на 4мм больше, чем на левой (голубые линии). Вот и получается, что на правой стопе наряду с небольшим укорочением 2 плюсневой есть более значимое относительное удлинение 3 и 4 плюсневых. И это в перспективе может быть причиной центральной метатарсалгии. Но пока жалобы пациентки связаны только с молоткообразной деформацией 2 пальца, лечение должно быть направлено на ее устранение наименее травматичным способом.
|
| Послать ответ |
Обратите внимание: Поля с жирными названиями обязательны.
Старайтесь отвечать в рамках обсуждаемой темы, а не начинать новые обсуждения.
Указывайте адекватную тему сообщения, чтобы было ясно, о чем оно.
Не послайте сообщений не по теме (оффтопик), раздраженных, грубых или обидных комментариев. Здесь это неуместно.
|