Ответить
|
Re: Укорочение 2 пальца стопы
Бережной Сергей 22 Октябрь 2011, 15:17
|
Доктору SAGo. Не знаю, каким образом Вы сравниваете длины плюсневых костей. Мне кажется, что с понятием формулы, или взаимоотношений длин плюсневых костей, которые определяют равномерность нагрузки на передний отдел стопы, Вы не очень знакомы. А это то, без чего невозможно правильно планировать любую операцию на стопе.

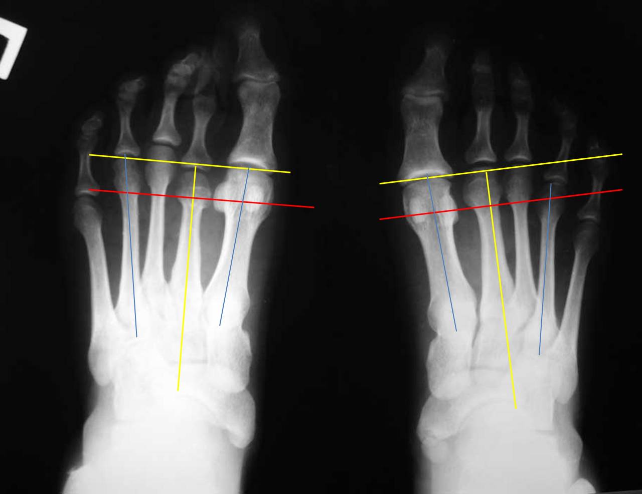
Я провел несколько ориентиров на представленных рентгенограммах, чтобы показать разницу в биомеханических ситуациях. На левой стопе перпендикуляр, проведенный к оси 2 плюсневой кости через дистальный конец 1 плюсневой (желтые линии) (принято за ориентир брать ось 2 плюсневой кости) проходит через верхушки 2 и 3 плюсневых. В нормальной ситуации 2 плюсневая кость должна быть чуть длинее 1-й. То есть на левой стопе можно говорить об относительно длинной 1 плюсневой кости. Именно этим объясняется наличие у молодой женщины признаков артроза 1 плюснефалангового сустава. А вот длина 4 плюсневой кости на левой стопе нормальная: перпендикуляр к оси 2 плюсневой проходит через середину латеральной сесамовидной кости и середину головки 4 плюсневой (красная линия). Теперь посмотрите на правую стопу: 3-я плюсневая кость намного длинее 1-й, а 4-я такой же длины. Такого в норме никак не может быть. А вот вторая при правильной разметке оказывается совсем чуть чуть короче первой. При этом абсолютная длина 1-й плюсневой (в милиметрах) у меня получилась на левой стопе даже больше, а длина 4 плюсневой на правой стопе на 4мм больше, чем на левой (голубые линии). Вот и получается, что на правой стопе наряду с небольшим укорочением 2 плюсневой есть более значимое относительное удлинение 3 и 4 плюсневых. И это в перспективе может быть причиной центральной метатарсалгии. Но пока жалобы пациентки связаны только с молоткообразной деформацией 2 пальца, лечение должно быть направлено на ее устранение наименее травматичным способом.
|
[
Ответить ]
|
Re: Укорочение 2 пальца стопы
Отправитель: SAGo 22 Октябрь 2011, 23:33
|
Доктору Бережному С. Во-первых, конечно же Вы правы, что я не разбираюсь со взаимоотношением "длин плюсневых костей, которые определяют равномерность нагрузки на передний отдел стопы". Но Вы не ответили на мой вопрос: что лучше - когда нагрузка равномерно распределяется на все 5 плюсневых костей, или когда так же нагрузка приходится всего лишь на четыре, из-за укорочения одной плюсневой кости?
Во-вторых, вот Вы очень профессионально все расчертили, но как Вы считаете, вот такая интересная формула взаимоотношений плюсневых костей на левой стопе является для данной конкретной больной ПАТОЛОГИЕЙ? Какая стопа для данной конкретной больной является НОРМОЙ: правая или левая?
|
[
Ответить ]
|
Re: Укорочение 2 пальца стопы
Отправитель: Бережной Сергей 23 Октябрь 2011, 11:16
|
>что лучше - когда нагрузка равномерно распределяется на все 5 плюсневых костей, или когда так же нагрузка приходится всего лишь на четыре, из-за укорочения одной плюсневой кости?
Лучше, когда на все равномерно. Но у данной больной удлинены 3 и 4 плюсневые. И значит на них, возможно, приходится избыточная нагрузка. К тому же еще раз обращаю Ваше внимание на толщину диафиза 2 плюсневой, которая свидетельствует о ее функциональной перегрузке. Возможно, ее головка расположена ниже остальных. Оценить расположение головок по переднезадним рентгенограммам мы не можем.
>Какая стопа для данной конкретной больной является НОРМОЙ: правая или левая?
Это все равно как при наличии у человека разного цвета глаз спросить какой нормальный. Оба глаза его родные. На левой стопе есть рентгенологические признаки артроза 1 плюснефалангового сустава. Пока он бессимптомный - хорошо. Но нормой это ведь не назовешь. У больной просто разные стопы.
|
[
Ответить ]
|
Re: Укорочение 2 пальца стопы
Отправитель: SAGo 23 Октябрь 2011, 19:52
|
1.Уважаемый доктор Бережной С.! На мой непраздный вопрос о том, какая стопа является для данной конкретной больной НОРМОЙ, я получил от Вас следующий ответ: «Это все равно как при наличии у человека разного цвета глаз спросить какой нормальный. Оба глаза его родные.» Из Вашего ответа я могу сделать следующий вывод: обе стопы у данной конкретной больной «родные», то есть нормальные. Так, что ли? Тогда зачем предлагать операции сразу же на 3-х пальцах, если все нормально на обеих стопах?
Я не зря задал такой вопрос о НОРМЕ именно для конкретной больной. Хотя, как Вы правильно подметили, я не очень знаком «с понятием формулы, или взаимоотношений длин плюсневых костей, которые определяют равномерность нагрузки на передний отдел стопы», но я знаю, что существует три типа взаимоотношений длин плюсневых костей на НОРМАЛЬНОЙ стопе: index minus type, index plus-minus type and index plus type (H. T. Kim, S. H. Lee, C. I. Yoo, J. H. Kang, J. T. Suh. The management of brachymetatarsia//J Bone Joint Surg [Br] 2003;85-B:683-90). В этой же статье и рисунок 2 есть, посмотрите эти типы НОРМЫ. Поэтому то, что Вы нарисовали ( отношение 1 и 2 плюсневых костей на левой стопе) является нормой, а Вы утверждали обратное. Поэтому я считаю, что для данной конкретной больной взаимоотношение плюсневых костей является НОРМОЙ, от чего и надо отталкиваться при сравнении длины плюсневых костей на обеих стопах. Да, я с Вами согласен, что по сравнению с левой стопой на правой удлинены 3-5 плюсневые кости на 2-3 мм, что не считается патологией. Равномерное и незначительное удлинение плюсневых костей (на 2-3 мм) не является патологией. Вы со мной согласны? Да, головка 5 плюсневой кости по отношению к головке 4 плюсневой кости на левой стопе на 2-3 мм стоит выше, чем на правой. Головка 4 плюсневой кости по отношению к 3-й плюсневой кости на левой стопе стоит на 3 мм выше, чем на правой. НО, САМОЕ ГЛАВНОЕ – головка 3 плюсневой кости по отношению к головке 2 плюсневой кости на левой ( нормальной) стопе стоит где-то на 3-4 мм выше головки 2 плюсневой кости, а на правой ( больной) стопе головка 3 плюсневой кости по отношению к головке 2 плюсневой кости стоит выше АЖ на 17 мм. Это Вы считаете НОРМОЙ? Это, по-Вашему, не считается брахиметатарсией? Brachymetatarsia is diagnosed when one metatarsal ends 5 mm or more proximal to the parabolic arc(H. T. Kim, S. H. Lee, C. I. Yoo, J. H. Kang, J. T. Suh. The management of brachymetatarsia//J Bone Joint Surg [Br] 2003;85-B:683-90). А в нашем случае разница АЖ в 13-14 мм по сравнению с плюсневой формулой на левой-нормальной стопе.
Теперь об укорочении 1 пальца. Вы же сами вполне справедливо отметили, что даже в абсолютной величине на левой стопе 1 плюсневая кость длиннее подобной же кости на правой – больной стопе. Плюс ко всему, на Вашем, профессионально расчерченном рисунке, можно четко увидеть, что расстояние между головками 1 и 3 плюсневых костей на левой стопе – 0 мм, а на правой-больной стопе – МЕНЬШЕ АЖ на10 мм. То есть 1 плюсневая кость на больной стопе по отношению к нормальной параболе плюсневых костей УКОРОЧЕНА. О чем я и говорил, а Вы почему-то возражали.
2.Вы утверждаете, что 2 плюсневая кость на левой стопе из-за избыточной нагрузки на нее утолщена. А мне вот кажется, что это не совсем так. Избыточной нагрузки, наоборот, на укороченную плюсневую кость приходится гораздо меньше, чем на соседние удлиненные. Поэтому и возникают метатарсалгии – из-за неравномерного распределения нагрузки на все 5 плюсневых костей. Вот почему я и задал Вам такой вопрос: когда лучше, когда нагрузка равномерно распределяется на все 5 плюсневых костей или на 4-ре. Вы абсолютно правильно ответили – лучше, когда на все 5. Поэтому в биомеханическом плане и надо добиваться такого состояния, то есть создавать нормальную параболу плюсневых костей, которая у данной больной явно нарушена. И еще раз, позволю с Вами не согласиться – на 2-ю плюсневую кость в данном случае как раз из-за ее укорочения приходится гораздо меньше нагрузка, чем на соседние. Диафиз 2 плюсневой кости не увеличен – это можно легко проверить измерениями толщины кости на двух стопах и по отношению к соседним костям.
Если Вы предполагаете, что головка 2 плюсневой кости на правой стопе торчит избыточно в подошвенную сторону, а Вы это не можете определить рентгенологически, то можно это определить клинически – по омозолелости на подошвенной поверхности головки. И если, как Вы считаете, головка торчит в подошвенную сторону и 2 плюсневая кость несет избыточную нагрузку, из-за чего и «утолщилась»?, то наверное, в таком случае надо исправлять это положение и что-то делать со второй плюсневой костью, а не с соседними проксимальными фалангами. Так?
3.И еще, по поводу функциональных расстройств и тактики лечения при брахиметатарсии. Я думаю, что можно цитировать без комментариев, в этих работах все прекрасно написано и про то, когда возникают метатарсалгии и из-за чего, описано, почему один палец «подползает» под другой и т.д. и т.п.
Keun-Bae Lee, Hyun-Kee Yang, Jae-Yoon Chung, Eun-Sun Moon, and Sung-Taek Jung. How to avoid complications of distraction osteogenesis for first brachymetatarsia\\ Acta Orthopaedica 2009; 80 (2): 220–225 - The deformity is not only cosmetically disturbing but also impairs the weight-bearing mechanism of the foot. In first brachymetatarsia, excessive weight bearing is loaded onto the second and third metatarsus by a change in weight, and pressure and pain can develop during shoe wearing and walking because of the deformity and overlapping adjacent toes (Tanaka et al. 1995, Baek and Chung 1998).
J. S. Kim, G. H. Baek, M. S. Chung, P. W. Yoon. Multiple congenital brachymetatarsia
A ONE-STAGE COMBINED SHORTENING AND LENGTHENING PROCEDURE WITHOUT ILIAC BONE GRAFT \\J. Bone Joint Surg [Br] 2004;86-B:1013-15. - The fourth toe is most commonly involved, although any or multiple metatarsals may be affected. As the deformity progresses, it may cause pain because of an altered metatarsal parabola.
H. T. Kim, S. H. Lee, C. I. Yoo, J. H. Kang, J. T. Suh. The management of brachymetatarsia//J Bone Joint Surg [Br] 2003;85-B:683-90. - The toe-tip parabola is important for cosmetic
improvement and the metatarsal head parabola for functional improvement. The metatarsal head has an important weight-bearing function during walking, especially at toe off.
B. MAGNAN, A. BRAGANTINI, D. REGIS, P. BARTOLOZZI. METATARSAL LENGTHENING BY CALLOTASIS DURING THE GROWTH PHASE \\ J Bone Joint Surg [Br] 1995;77-B:602-7.- It is usually symptomless, but may cause pain in the adjacent metatarsals which may be severe. This results from mechanical insufficiency of the short metatarsal, and the associated axial deviation or claw-toe deformity can cause problems on walking.
The restoration of the correct metatarsal formula was always associated with the
disappearance of metatarsalgia.
А вот в этой ссылке все написано вполне доступно обо всем, включая объяснения того, какие и от чего появляются молоткообразные пальцы и вальгусы-варусы соседних пальцев, какие функциональные расстойства имеют место быть при брахиметатарсии, отчего возникаю метатарсалгии, когда это все исчезает и т.д. Написано почти все так, как у нашей обсуждаемой больной.
Sandro Giannini , Cesare Faldini , Stavroula Pagkrati , Maria Teresa Miscione , Deianira Luciani. One-stage Metatarsal Lengthening by Allograft Interposition. A Novel Approach for Congenital Brachymetatarsia \\Clin Orthop Relat Res (2010) 468:1933–1942. - Patients with brachymetatarsia complain of metatarsalgia, calluses, shoe wear irritation, and soft tissue contractures [1, 3, 28]. In addition, many patients, particularly young women, complain of the appearance [8, 17, 21, 28, 34, 35]. Other toe deformities often are associated: the toes of the normal rays may be deviated to fill the gap formed by the involved toe: the toes placed medially are deformed in valgus, whereas the toes placed laterally are deformed in varus (Fig. 1A).
Surgery reportedly improves function and cosmetic appearance of the forefoot [20, 22, 28, 35].
The main symptoms of the patients were pain caused by transfer metatarsalgia and skin irritation caused by shoe wear. The short metatarsal typically causes a deformed position of the corresponding toe, which is placed in a dorsiflexed position atop the web space (Fig. 1A). Pain was sometimes the consequence of associated toe deformities: 18 feet had hallux valgus, 14 had fifth toe varus, and 27 had hammertoes with lateral or medial deviation. All patients complained of the appearance: none felt comfortable wearing open-toed shoes and walking barefoot. Moreover, patients complained of calluses, which frequently were symptomatic, inability to wear tight shoes or high heels, and limitation of metatarsophalangeal joint motion of the corresponding metatarsal.
Redistribution of the pressure of the metatarsal heads after surgery was observed clinically with the reduction or disappearance of the transfer metatarsalgia pain and the
plantar calluses.
4.И все эти функциональные и косметические нарушения при брахиметатарсии можно вполне успешно вылечить одномоментным или постепенным удлинением укороченной плюсневой кости, не прибегая к сложным манипуляциям на проксимальных фалангах сразу трех пальцев. Все деформации ( молоткообразные и т.д.) «уходят», когда головка укороченной плюсневой кости оказывается на своем привычном месте в параболе плюсневых костей. Еще раз прошу посмотреть внимательно на картинки из этих и других статей по удлинению плюсневых костей. От всех сопутствующих деформаций не остается и следа после только удлинения плюсневой кости.
5.Если Вы считаете, что 3-4 плюсневые кости на правой стопе удлинены, то для восстановления нормальной параболы можно просто взять и укоротить 3-4 плюсневые кости. Это сделать легче, чем вмешиваться на проксимальных фалангах. Всякие укорочения плюсневых костей в сочетании с удлинением укороченных вполне законно применяют. Но я на такой тактике лечения не настаиваю. Мне нравится постепенное удлинение. Но я против операций на проксимальных фалангах 3-х пальцев.
|
[
Ответить ]
|
Re: Укорочение 2 пальца стопы
Отправитель: Бережной Сергей 23 Октябрь 2011, 21:27
|
Из Вашего ответа я могу сделать следующий вывод: обе стопы у данной конкретной больной «родные», то есть нормальные.
Как раз наоборот, я хотел сказать, что обе стопы не нормальные. Но других у нее нет. И пусть ходит на них пока ходится. Нет натоптышей и слава богу, не нужно пока волноваться за параболу. Не забудьте еще про дополнительную ладьевидную косточку на левой "здоровой" стопе. Какая уж тут норма.
не прибегая к сложным манипуляциям на проксимальных фалангах сразу трех пальцев.
Чрескожная остеотомия основных фаланг 3-х пальцев, о которой я говорил, занимает менее 5 минут и относится к наименее травматичным вмешательствам.
Спасибо Вам за очень аргументированную дискуссию. Я из нее выхожу, поскольку не готов к такой глубине в рамках данного форума. Как и вообще в жизни, на многие вопросы в медицине может быть много ответов, как правильных, так и нет. Это абсолютно нормально. И далеко не всегда нужно пытаться и можно найти САМЫЙ правильный из них.
|
[
Ответить ]
|
|
( Ответить )
|
|