Ответить
|
Re: Укорочение 2 пальца стопы
Бережной Сергей 18 Октябрь 2011, 02:44
|
Судя по фотографиям, укорочение 2 пальца не является косметически значимым. Есть его молоткообразная деформация наряду с варусным отклонением 3 пальца, который уже "подлез" под второй, и вальгусной деформацией дистальной части 1 пальца (hallux valgus interphalangeus). То есть, расстояние между 1 и 3 пальцами уменьшено. Значит вмешательство должно быть направлено не только на устранение молоткообразной деформации 2 пальца, но и на формирование пространства для него между 1 и 3. Оптимальным мог бы быть следующий набор хирургических действий: чрескожная удлиняющая тенотомия разгибателей и поверхностного сгибателя 2 пальца; коррегирующие чрескожные остеотомии оснований основных фаланг 2 и 3 пальцев и дистальной трети основной фаланги 1 пальца. Если не оперируете чрескожно, операции на 2 и 3 пальцах можно сделать через маленькие разрезы узкой пилкой или узким долотом, а на 1 пальце любым доступным Вам способом. Фиксировать или нет остеотомии зависит от Ваших предпочтений. При правильно наложенной и удерживаемой в течение 3-4 недель повязке внутренняя фиксация таких остеотомий не обязательна. Операция на трех пальцах выгодна еще и тем, что позволит пропорционально укоротить их, сохранив имеющееся взаимоотношение длин.
Вопрос об удлинении 2 плюсневой стоять не должен. Значительное утолщение ее диафиза и молоткообразная деформация 2 пальца свидетельствуют о функциональной перегрузке 2 луча. Удлинение 2 плюсны с большой степенью вероятности приведет к центральной метатарсалгии и прогрессированию деформации 2 пальца.
|
[
Ответить ]
|
Re: Укорочение 2 пальца стопы
SAGo 18 Октябрь 2011, 22:05
|
1 палец тоже укорочен. То, что 2-й палец укорочен, является не только выраженным косметическим, но и функциональным дефектом. При брахиметатарсии удлиняют все-таки плюсневые кости.
|
[
Ответить ]
|
Re: Укорочение 2 пальца стопы
Др.Бахтамян из Еревана 19 Октябрь 2011, 01:03
|
Уважаемый Др.Салихов,
Eсть ли у Вашего больного боли при ходьбе под головками 2-3 плюсневых костей (метатарзалгия)?
Др.Берeжному - если есть hallux valgus interfalangeus не лучше ли сделать Аkin procedure? Как раз основная фаланга на пару миллиметров уоротится!
|
[
Ответить ]
|
Re: Укорочение 2 пальца стопы
Бережной Сергей 19 Октябрь 2011, 02:41
|
Как же тут можно говорить об укорочении 1 пальца? Укорочение относительно чего? Все зависит от точки отсчета. На мой взгляд, имеется избыточная длина 3 и 4 плюсневых. Подобную ситуацию можно назвать сложным нарушением формулы плюсневых костей. А вот про функциональные расстройства, за исключением помех при ношении обуви вследствие деформации 2 пальца, автор вопроса ничего не сказал.
Д-ру Бахтамяну: про остеотомию дистальной трети основной фаланги, которая приведет к укорочению 1 пальца, я вроде бы сразу написал. Базальная остеотомия основной фаланги по Айкин расчитана на устранение hallux valgus, которого здесь нет. В случае hallux valgus interphalangeus Akin procedure может привести к варусному отклонению 1 пальца, не устранив при этом имеющуюся деформацию.
|
[
Ответить ]
|
Re: Укорочение 2 пальца стопы
Отправитель: SAGo 22 Октябрь 2011, 02:43
|
Доктору Бережному С. Об укорочении 1 пальца за счет плюсневой кости можно говорить, сравнив ее длину по отношению к 3-5 плюсневым костям на ипси- и контрлатеральной конечности. На контрлатеральной конечности длина 3-5 плюсневых костей почти идентична длине плюсневых костей на стопе с брахиметатарсией. Поэтому говорить об избыточной длине 3-4 плюсневых костей как-то не очень. По поводу функциональных расстройств из-за брахиметатарсии, наверное, действительно, не особо следует. Правда возникает вопрос: а когда лучше - когда нагрузка равномерно распределяется на все 5 плюсневых костей, или когда всего лишь на четыре? Компенсировать же как-то надо недостающую опорную функцию укороченного пальца.
|
[
Ответить ]
|
Re: Укорочение 2 пальца стопы
Отправитель: Бережной Сергей 22 Октябрь 2011, 15:17
|
Доктору SAGo. Не знаю, каким образом Вы сравниваете длины плюсневых костей. Мне кажется, что с понятием формулы, или взаимоотношений длин плюсневых костей, которые определяют равномерность нагрузки на передний отдел стопы, Вы не очень знакомы. А это то, без чего невозможно правильно планировать любую операцию на стопе.

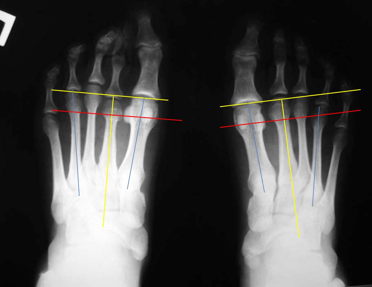
Я провел несколько ориентиров на представленных рентгенограммах, чтобы показать разницу в биомеханических ситуациях. На левой стопе перпендикуляр, проведенный к оси 2 плюсневой кости через дистальный конец 1 плюсневой (желтые линии) (принято за ориентир брать ось 2 плюсневой кости) проходит через верхушки 2 и 3 плюсневых. В нормальной ситуации 2 плюсневая кость должна быть чуть длинее 1-й. То есть на левой стопе можно говорить об относительно длинной 1 плюсневой кости. Именно этим объясняется наличие у молодой женщины признаков артроза 1 плюснефалангового сустава. А вот длина 4 плюсневой кости на левой стопе нормальная: перпендикуляр к оси 2 плюсневой проходит через середину латеральной сесамовидной кости и середину головки 4 плюсневой (красная линия). Теперь посмотрите на правую стопу: 3-я плюсневая кость намного длинее 1-й, а 4-я такой же длины. Такого в норме никак не может быть. А вот вторая при правильной разметке оказывается совсем чуть чуть короче первой. При этом абсолютная длина 1-й плюсневой (в милиметрах) у меня получилась на левой стопе даже больше, а длина 4 плюсневой на правой стопе на 4мм больше, чем на левой (голубые линии). Вот и получается, что на правой стопе наряду с небольшим укорочением 2 плюсневой есть более значимое относительное удлинение 3 и 4 плюсневых. И это в перспективе может быть причиной центральной метатарсалгии. Но пока жалобы пациентки связаны только с молоткообразной деформацией 2 пальца, лечение должно быть направлено на ее устранение наименее травматичным способом.
|
[
Ответить ]
|
Re: Укорочение 2 пальца стопы
Отправитель: SAGo 22 Октябрь 2011, 23:33
|
Доктору Бережному С. Во-первых, конечно же Вы правы, что я не разбираюсь со взаимоотношением "длин плюсневых костей, которые определяют равномерность нагрузки на передний отдел стопы". Но Вы не ответили на мой вопрос: что лучше - когда нагрузка равномерно распределяется на все 5 плюсневых костей, или когда так же нагрузка приходится всего лишь на четыре, из-за укорочения одной плюсневой кости?
Во-вторых, вот Вы очень профессионально все расчертили, но как Вы считаете, вот такая интересная формула взаимоотношений плюсневых костей на левой стопе является для данной конкретной больной ПАТОЛОГИЕЙ? Какая стопа для данной конкретной больной является НОРМОЙ: правая или левая?
|
[
Ответить ]
|
Re: Укорочение 2 пальца стопы
Отправитель: Бережной Сергей 23 Октябрь 2011, 11:16
|
>что лучше - когда нагрузка равномерно распределяется на все 5 плюсневых костей, или когда так же нагрузка приходится всего лишь на четыре, из-за укорочения одной плюсневой кости?
Лучше, когда на все равномерно. Но у данной больной удлинены 3 и 4 плюсневые. И значит на них, возможно, приходится избыточная нагрузка. К тому же еще раз обращаю Ваше внимание на толщину диафиза 2 плюсневой, которая свидетельствует о ее функциональной перегрузке. Возможно, ее головка расположена ниже остальных. Оценить расположение головок по переднезадним рентгенограммам мы не можем.
>Какая стопа для данной конкретной больной является НОРМОЙ: правая или левая?
Это все равно как при наличии у человека разного цвета глаз спросить какой нормальный. Оба глаза его родные. На левой стопе есть рентгенологические признаки артроза 1 плюснефалангового сустава. Пока он бессимптомный - хорошо. Но нормой это ведь не назовешь. У больной просто разные стопы.
|
[
Ответить ]
|
Re: Укорочение 2 пальца стопы
Отправитель: SAGo 23 Октябрь 2011, 19:52
|
1.Уважаемый доктор Бережной С.! На мой непраздный вопрос о том, какая стопа является для данной конкретной больной НОРМОЙ, я получил от Вас следующий ответ: «Это все равно как при наличии у человека разного цвета глаз спросить какой нормальный. Оба глаза его родные.» Из Вашего ответа я могу сделать следующий вывод: обе стопы у данной конкретной больной «родные», то есть нормальные. Так, что ли? Тогда зачем предлагать операции сразу же на 3-х пальцах, если все нормально на обеих стопах?
Я не зря задал такой вопрос о НОРМЕ именно для конкретной больной. Хотя, как Вы правильно подметили, я не очень знаком «с понятием формулы, или взаимоотношений длин плюсневых костей, которые определяют равномерность нагрузки на передний отдел стопы», но я знаю, что существует три типа взаимоотношений длин плюсневых костей на НОРМАЛЬНОЙ стопе: index minus type, index plus-minus type and index plus type (H. T. Kim, S. H. Lee, C. I. Yoo, J. H. Kang, J. T. Suh. The management of brachymetatarsia//J Bone Joint Surg [Br] 2003;85-B:683-90). В этой же статье и рисунок 2 есть, посмотрите эти типы НОРМЫ. Поэтому то, что Вы нарисовали ( отношение 1 и 2 плюсневых костей на левой стопе) является нормой, а Вы утверждали обратное. Поэтому я считаю, что для данной конкретной больной взаимоотношение плюсневых костей является НОРМОЙ, от чего и надо отталкиваться при сравнении длины плюсневых костей на обеих стопах. Да, я с Вами согласен, что по сравнению с левой стопой на правой удлинены 3-5 плюсневые кости на 2-3 мм, что не считается патологией. Равномерное и незначительное удлинение плюсневых костей (на 2-3 мм) не является патологией. Вы со мной согласны? Да, головка 5 плюсневой кости по отношению к головке 4 плюсневой кости на левой стопе на 2-3 мм стоит выше, чем на правой. Головка 4 плюсневой кости по отношению к 3-й плюсневой кости на левой стопе стоит на 3 мм выше, чем на правой. НО, САМОЕ ГЛАВНОЕ – головка 3 плюсневой кости по отношению к головке 2 плюсневой кости на левой ( нормальной) стопе стоит где-то на 3-4 мм выше головки 2 плюсневой кости, а на правой ( больной) стопе головка 3 плюсневой кости по отношению к головке 2 плюсневой кости стоит выше АЖ на 17 мм. Это Вы считаете НОРМОЙ? Это, по-Вашему, не считается брахиметатарсией? Brachymetatarsia is diagnosed when one metatarsal ends 5 mm or more proximal to the parabolic arc(H. T. Kim, S. H. Lee, C. I. Yoo, J. H. Kang, J. T. Suh. The management of brachymetatarsia//J Bone Joint Surg [Br] 2003;85-B:683-90). А в нашем случае разница АЖ в 13-14 мм по сравнению с плюсневой формулой на левой-нормальной стопе.
Теперь об укорочении 1 пальца. Вы же сами вполне справедливо отметили, что даже в абсолютной величине на левой стопе 1 плюсневая кость длиннее подобной же кости на правой – больной стопе. Плюс ко всему, на Вашем, профессионально расчерченном рисунке, можно четко увидеть, что расстояние между головками 1 и 3 плюсневых костей на левой стопе – 0 мм, а на правой-больной стопе – МЕНЬШЕ АЖ на10 мм. То есть 1 плюсневая кость на больной стопе по отношению к нормальной параболе плюсневых костей УКОРОЧЕНА. О чем я и говорил, а Вы почему-то возражали.
2.Вы утверждаете, что 2 плюсневая кость на левой стопе из-за избыточной нагрузки на нее утолщена. А мне вот кажется, что это не совсем так. Избыточной нагрузки, наоборот, на укороченную плюсневую кость приходится гораздо меньше, чем на соседние удлиненные. Поэтому и возникают метатарсалгии – из-за неравномерного распределения нагрузки на все 5 плюсневых костей. Вот почему я и задал Вам такой вопрос: когда лучше, когда нагрузка равномерно распределяется на все 5 плюсневых костей или на 4-ре. Вы абсолютно правильно ответили – лучше, когда на все 5. Поэтому в биомеханическом плане и надо добиваться такого состояния, то есть создавать нормальную параболу плюсневых костей, которая у данной больной явно нарушена. И еще раз, позволю с Вами не согласиться – на 2-ю плюсневую кость в данном случае как раз из-за ее укорочения приходится гораздо меньше нагрузка, чем на соседние. Диафиз 2 плюсневой кости не увеличен – это можно легко проверить измерениями толщины кости на двух стопах и по отношению к соседним костям.
Если Вы предполагаете, что головка 2 плюсневой кости на правой стопе торчит избыточно в подошвенную сторону, а Вы это не можете определить рентгенологически, то можно это определить клинически – по омозолелости на подошвенной поверхности головки. И если, как Вы считаете, головка торчит в подошвенную сторону и 2 плюсневая кость несет избыточную нагрузку, из-за чего и «утолщилась»?, то наверное, в таком случае надо исправлять это положение и что-то делать со второй плюсневой костью, а не с соседними проксимальными фалангами. Так?
3.И еще, по поводу функциональных расстройств и тактики лечения при брахиметатарсии. Я думаю, что можно цитировать без комментариев, в этих работах все прекрасно написано и про то, когда возникают метатарсалгии и из-за чего, описано, почему один палец «подползает» под другой и т.д. и т.п.
Keun-Bae Lee, Hyun-Kee Yang, Jae-Yoon Chung, Eun-Sun Moon, and Sung-Taek Jung. How to avoid complications of distraction osteogenesis for first brachymetatarsia\\ Acta Orthopaedica 2009; 80 (2): 220–225 - The deformity is not only cosmetically disturbing but also impairs the weight-bearing mechanism of the foot. In first brachymetatarsia, excessive weight bearing is loaded onto the second and third metatarsus by a change in weight, and pressure and pain can develop during shoe wearing and walking because of the deformity and overlapping adjacent toes (Tanaka et al. 1995, Baek and Chung 1998).
J. S. Kim, G. H. Baek, M. S. Chung, P. W. Yoon. Multiple congenital brachymetatarsia
A ONE-STAGE COMBINED SHORTENING AND LENGTHENING PROCEDURE WITHOUT ILIAC BONE GRAFT \\J. Bone Joint Surg [Br] 2004;86-B:1013-15. - The fourth toe is most commonly involved, although any or multiple metatarsals may be affected. As the deformity progresses, it may cause pain because of an altered metatarsal parabola.
H. T. Kim, S. H. Lee, C. I. Yoo, J. H. Kang, J. T. Suh. The management of brachymetatarsia//J Bone Joint Surg [Br] 2003;85-B:683-90. - The toe-tip parabola is important for cosmetic
improvement and the metatarsal head parabola for functional improvement. The metatarsal head has an important weight-bearing function during walking, especially at toe off.
B. MAGNAN, A. BRAGANTINI, D. REGIS, P. BARTOLOZZI. METATARSAL LENGTHENING BY CALLOTASIS DURING THE GROWTH PHASE \\ J Bone Joint Surg [Br] 1995;77-B:602-7.- It is usually symptomless, but may cause pain in the adjacent metatarsals which may be severe. This results from mechanical insufficiency of the short metatarsal, and the associated axial deviation or claw-toe deformity can cause problems on walking.
The restoration of the correct metatarsal formula was always associated with the
disappearance of metatarsalgia.
А вот в этой ссылке все написано вполне доступно обо всем, включая объяснения того, какие и от чего появляются молоткообразные пальцы и вальгусы-варусы соседних пальцев, какие функциональные расстойства имеют место быть при брахиметатарсии, отчего возникаю метатарсалгии, когда это все исчезает и т.д. Написано почти все так, как у нашей обсуждаемой больной.
Sandro Giannini , Cesare Faldini , Stavroula Pagkrati , Maria Teresa Miscione , Deianira Luciani. One-stage Metatarsal Lengthening by Allograft Interposition. A Novel Approach for Congenital Brachymetatarsia \\Clin Orthop Relat Res (2010) 468:1933–1942. - Patients with brachymetatarsia complain of metatarsalgia, calluses, shoe wear irritation, and soft tissue contractures [1, 3, 28]. In addition, many patients, particularly young women, complain of the appearance [8, 17, 21, 28, 34, 35]. Other toe deformities often are associated: the toes of the normal rays may be deviated to fill the gap formed by the involved toe: the toes placed medially are deformed in valgus, whereas the toes placed laterally are deformed in varus (Fig. 1A).
Surgery reportedly improves function and cosmetic appearance of the forefoot [20, 22, 28, 35].
The main symptoms of the patients were pain caused by transfer metatarsalgia and skin irritation caused by shoe wear. The short metatarsal typically causes a deformed position of the corresponding toe, which is placed in a dorsiflexed position atop the web space (Fig. 1A). Pain was sometimes the consequence of associated toe deformities: 18 feet had hallux valgus, 14 had fifth toe varus, and 27 had hammertoes with lateral or medial deviation. All patients complained of the appearance: none felt comfortable wearing open-toed shoes and walking barefoot. Moreover, patients complained of calluses, which frequently were symptomatic, inability to wear tight shoes or high heels, and limitation of metatarsophalangeal joint motion of the corresponding metatarsal.
Redistribution of the pressure of the metatarsal heads after surgery was observed clinically with the reduction or disappearance of the transfer metatarsalgia pain and the
plantar calluses.
4.И все эти функциональные и косметические нарушения при брахиметатарсии можно вполне успешно вылечить одномоментным или постепенным удлинением укороченной плюсневой кости, не прибегая к сложным манипуляциям на проксимальных фалангах сразу трех пальцев. Все деформации ( молоткообразные и т.д.) «уходят», когда головка укороченной плюсневой кости оказывается на своем привычном месте в параболе плюсневых костей. Еще раз прошу посмотреть внимательно на картинки из этих и других статей по удлинению плюсневых костей. От всех сопутствующих деформаций не остается и следа после только удлинения плюсневой кости.
5.Если Вы считаете, что 3-4 плюсневые кости на правой стопе удлинены, то для восстановления нормальной параболы можно просто взять и укоротить 3-4 плюсневые кости. Это сделать легче, чем вмешиваться на проксимальных фалангах. Всякие укорочения плюсневых костей в сочетании с удлинением укороченных вполне законно применяют. Но я на такой тактике лечения не настаиваю. Мне нравится постепенное удлинение. Но я против операций на проксимальных фалангах 3-х пальцев.
|
[
Ответить ]
|
Re: Укорочение 2 пальца стопы
Отправитель: Бережной Сергей 23 Октябрь 2011, 21:27
|
Из Вашего ответа я могу сделать следующий вывод: обе стопы у данной конкретной больной «родные», то есть нормальные.
Как раз наоборот, я хотел сказать, что обе стопы не нормальные. Но других у нее нет. И пусть ходит на них пока ходится. Нет натоптышей и слава богу, не нужно пока волноваться за параболу. Не забудьте еще про дополнительную ладьевидную косточку на левой "здоровой" стопе. Какая уж тут норма.
не прибегая к сложным манипуляциям на проксимальных фалангах сразу трех пальцев.
Чрескожная остеотомия основных фаланг 3-х пальцев, о которой я говорил, занимает менее 5 минут и относится к наименее травматичным вмешательствам.
Спасибо Вам за очень аргументированную дискуссию. Я из нее выхожу, поскольку не готов к такой глубине в рамках данного форума. Как и вообще в жизни, на многие вопросы в медицине может быть много ответов, как правильных, так и нет. Это абсолютно нормально. И далеко не всегда нужно пытаться и можно найти САМЫЙ правильный из них.
|
[
Ответить ]
|
|
Re: Укорочение 2 пальца стопы
Шведовченко Игорь Владимирович. 20 Октябрь 2011, 01:26
|
Уважаемый Рамиль. Вы имеете дело с пороком развития, обозначамым, как врожденная брахиметатарзия. Деформация является привилегией лиц женского пола, проявляется обычно в возрасте 12-14 лет, в периоде вытяжения. Аналог на кисти-брахиметакарпия. При рентгенологическом обследовании в раннем периоде развития деформации видна необычная форма зоны роста плюсневой кости, по форме напоминающая воронку. Это дало повод некоторым авторам утверждать, что раннее закрытие зоны роста идет весьма необычно, от центра к периферии.
Как лечится? При выраженном укорочении, когда палец пораженного луча оказывается практически на тыле кисти, рекомендуют удаление пальца и плюсневой кости.
При незначительном укорочении, как в вашем случае-рекомендации удлинения плюсневой кости; или одномоментно с использованием костной пластики, либо с применением дистракционного аппарата.
|
[
Ответить ]
|
Re: Укорочение 2 пальца стопы
Александр Т. 20 Октябрь 2011, 03:20
|
С уважением относясь к методике изложенной др. Бережным, хотелось бы узнать на какой биомеханической концепции основывается уверенность что остеотоми основных фаланг 3х пальцев изменит проблему произошедшую из-за укорочения 2 пюсневой кости и соответственно "выпадения" головки данной кости из общего ряда головок плюсневых костей. По моему неоднократному наблюдению (оперативное лечение подобных пациентов более 10 лет) без нормализации положения головки 2 плюсневой кости (т.е. ее удлинения) избежать рецидива деформации 2 пальца невозможно с остеотомиями фаланг пальцев и удлинениями сухожилий, или без. Конечно, "выравнивание" пальцев приведет к некоторому эстетичесокму улучшению, но на достаточно короткий срок, а с учетом укорочения пальцев изменится размер длинника стопы, и подбор обуви для 2 разновеликих стоп станет для пациентки большой проблемой. Те несколько случаев, когда мы выполняли операции при данной патологии, позволили определиться с некоторыми особенностями стратегии: если принимается решение удлинять 2 плюсневую кость, то обязательно использовать кожную пластику встречными лоскутами из-за формирования натяжения и дефекта при удлинении, без осциллирующей пилы лучше даже не начинать подобную операцию, а остеотомию необходимо делать на максимальном протяжении - иначе не хватит ресурса длины кости; фиксация по факту удлинения - быстрее всего пластиной по внутренне-боковой поверхности; обязательное Z-образное удлинение сгибателя и разгибателя из того-же разреза; так-же потребуется трансартикулярная фиксация 2 пальца спицей. В итоге операция достаточно травматичная, но при качественном выполнении приносит требуемый пациентом результат. Как достаточно радикальная, но менее травматичная альтернатива - резекция луча 2 пальца (остается лишь дистальная треть 2 плюсневой кости)- визуально - далеко не каждый замечает уменьшенное количество пальцев, а биомеханически - очень стабильная конфигурация и отличная функция. Но конечно - все зависит от желания пациента и способностей хирурга.
С уважением Александр Т.
|
[
Ответить ]
|
Re: Укорочение 2 пальца стопы
Салихов Рамиль 20 Октябрь 2011, 22:31
|
Спасибо всем за высказанные мнения. У больной нет болей в области головки 2 плюсневой кости, беспокоит только сам 2 палец. На предложение об ампутации 2 пальца больная отказалась. Старшими товарищами принято решение о резекции головки основной фаланги 2 пальца с фиксацией спицей на 3-4 нед. Буду следить за результатом.
|
[
Ответить ]
|
Re: Укорочение 2 пальца стопы
Отправитель: Бережной Сергей 21 Октябрь 2011, 02:25
|
Палец приподнят над остальными за счет избыточного тыльного сгибания в плюснефаланговом суставе. Если уж думать о резекции, то о резекции основания основной фаланги, а не головки. Иначе основная фаланга так и останется приподнятой, а палец как мешал, так и будет мешать. Только станет короче и тугоподвижнее за счет фиксации спицей. После подобной операции палец вполне можно эффективно удерживать в нужном положении повязкой. А при необходимости положение пальца во время перевязки можно легко подкорректировать. Во вложенном файле пример возможности удержания пальцев повязкой в гораздо более серьезной ситуации.
Здесь стопа до и через неделю после вмешательства на первой перевязке. На операции были выполнены субкапитальные остеотомии 2-4 плюсневых костей, оснований основных фаланг 2-5 пальцев и средних фаланг 2-3 пальцев. И даже при таком объеме нужды в фиксации спицами нет.
|
[
Ответить ]
|
|
Re: Укорочение 2 пальца стопы
SAGo 21 Октябрь 2011, 00:19
|
Посмотрите картинки http://www.lowerextremity.com/david%20gitlin%20brachymetatarsia%20surgery%20brachymetatarsal%20ilizarov%20gradual%20lengthening Обратите внимание, что после удлинения никакой палец не "подползает" под укороченный, а затем удлиненный, палец. Это происходит за счет "заполнения" головкой плюсневой кости межпальцевого промежутка. И никаких остеотомий трех пальцев, кожных пластик и т.д. не нужно делать.
|
[
Ответить ]
|
Re: Укорочение 2 пальца стопы
Алибек 19 Ноябрь 2011, 10:30
|
Главное и элементарное- в первом межплюсневом пространстве,а точнее между головками 1 и 3 плюсневых костей нет места для правильного положения основной фаланги 2-го пальца,которая ,будучи подвижной,выдавливается к тылу. Здравый смысл и опыт специалистов по лечению брахиметатарзии убеждает что доктор SaGo прав.
|
[
Ответить ]
|
Re: Укорочение 2 пальца стопы
Олег 20 Ноябрь 2011, 17:27
|
Коллеги, здравствуйте!
Что видим: укорочение 2 плюсневой кости, лёгкую молоткообразную деформацию 2 пальца, незначительное варусное отклонение 3 пальца. И всё! Длина 1 пальца, длины всех остальных плюсневых костей симметричны (померяйте с линейкой физическую длину – она отличается в пределах 2 мм, т. е. в пределах погрешности измерения и рентгенологической позиции). Hallux valgus’а нет никакого, даже interphalangeus (посмотрите на другую стопу). Диагноз: брахиметатарзия 2 плюсневой кости. Соответственно, нужно эту самую кость удлинять. А не укорачивать (разворачивать, отклонять) соседние кости!!! Этими вмешательствами даже теоретически невозможно решить проблемы пациентки, а ведь у каждой операции есть последствия и риски.
Пациентку, скорее всего, беспокоит косметический дефект. И молоткообразная деформация 2 пальца - уже есть гиперкератоз на тыле проксимального межфалангового сустава. Варусное отклонение 3 пальца возникло компенсаторно, оно минимально и, скорее всего, пациентку не беспокоит.
В своей практике оперировал 3 больных с брахиметатарзией (3 стопы, 4 плюсневые кости). Всем было выполнено одномоментное удлинение плюсневых костей фрагментами гребня подвздошной кости с фиксацией спицами, удлинение сухожилий разгибателей, иммобилизация лонгетой 4 – 6 недель. Не лучший вариант: головка укороченной плюсневой кости очень жёстко фиксирована, приходилось её почти вкруговую скелетировать. Из 4 плюсневых костей 2 всё равно деформировались после удаления спиц. У 1 пациентки на кисти в подобной ситуации (брахиметакарпия) использовал стержневой дистракционный мини-аппарат (остеотомия 3 пястной кости, фиксация только фрагментов пястной кости, палец в режиме ЛФК со 2 дня.). Результат отличный: удлинение плюсневой кости от 32 до 46 мм. Единственный минус – длительная фиксация: порядка 4 месяцев.
Если придётся ещё оперировать, буду удлинять с помощью аппарата, но с одномоментной пластикой сухожилий.
А у данной пациентки только резекция головки основной фаланги 2 пальца ничего не решит: длина 2 п. ещё больше уменьшится, переразгибание основной фаланги 2 п. сохранится. Лучше вообще ничего не делать – этот случай не смертельный.
|
[
Ответить ]
|
Re: Укорочение 2 пальца стопы
Отправитель: Nodir 10 Декабрь 2011, 13:07
|
Раскажите про этиологию. И почему поражается только 3-4 пл. кость.
|
[
Ответить ]
|
|
( Ответить )
|
|