вверх
отправить
поиск
админ
главная
Предыдущее
|
Re: Остеомиелит-ваши методы лечения
Djoldas Kuldjanov 26 Октябрь 2014, 09:54
|
В данном случае причиной остеомиелита может быть чрезмерное увлечение наружным фиксатором, потому что неоднократные манипуляции по установке или перемонтаже не проходят даром, может произойти воспаление мягких тканей, затем остеомиелит! Для damage control можно установить наружный фиксатор, но на бедре, если его оставить до окончания лечения, имеется риск осложнения, и поэтому при первой возможности после стабилизации состояния лучше перевести на менее агрессивный метод фиксации (пластина или гвоздь).
Для диагностики остеомиелита достаточны клинические проявления и обычный снимок. КТ срезы отвечает на вопросы консолидации перелома, а фистулография при краевых поражениях дает топографию, но при вовлечении канала не имеет диагностической ценности!
Любые долго незаживающие послеоперационные раны или образование свищей после установки гвоздя являются сигналом для срочной замены. Ожидания, антибиотики и долгие обработки ран не очень эффективны. Чем дольше ожидание, тем хуже для канала. Рекомендуется удалить гвоздь, Irrigation and Debridement (I&D), до очистки канала обработать римером, и заполнение пустоты (spacer).


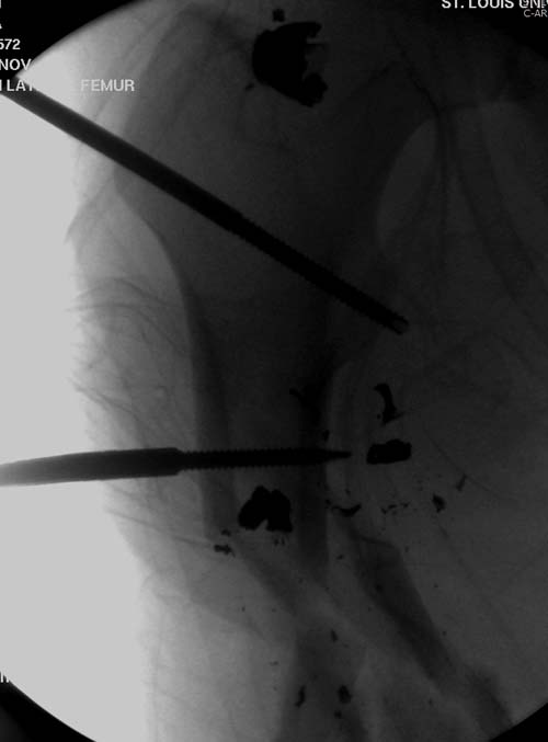
На снимках осложнение огнестрельного перелома бедра поздней инфекцией. 7 лет назад оперирован: правое бедро, сперва на ExFix, затем заменен на гвоздь, а левая - гвоздь при поступлении.
Беспокойство проявил недавно, по поводу жалоб на боли сделано МРТ и дренирование абсцесса терапевтами. Мы удалили гвоздь, сделали I&D, рассверливание канала, и ввели гвоздь с антибиотиком. Для гвоздя использовали стерильную трубку-форму, а антибиотик по 1.0 Tobramycin c Vancomycin.
В замкнутом без перелома пространстве во время риминга повышается давление внутри канала, и имеется риск тромбообразования. Для профилактики и для дренажа - каннюлированный винт 6.5 мм в дистальной части бедра. Обработку заканчивают культурой из раны и канала. Иногда процедуру надо будет повторить.
Рекомендуется: антибиотический гвоздь на цементе. Нагрузку можно разрешить сразу, перелом сросся давно!
|
|
|