AOTRAUMA.ORG Центр Илизарова  

Ортопедия и травматология Общие вопросы/General questions Help Информационные технологии в медицине
 вверх
 отправить
 поиск
 админ
 главная


Отводящая контрактура
Ортопедия и травматология Отправлено Юрий Алексеевич Булахтин 18 Октябрь 2004, 17:59
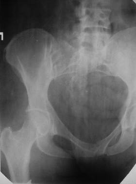
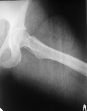
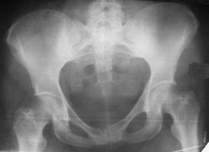
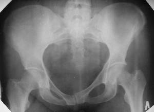
Уважаемые коллеги! Хотел-бы обсудить интерессный, на мой взгляд, случай.На консультацию пришла женщина 45 лет с отводящей контрактурой правого бедра.
Из анамнеза: в ноябре 2002г. оступилась,упалана трап самолета (на верхней площадке, сразу при выходе из салона) на правый тазобедренный сустав, а затем - вниз на землю на ноги и ягодицы. Потеряла сознание от боли. Доставлена в больницу по месту жительства, лечилась консервативно с диагнозом кокцигодиния.На рентгенограмме от 27.11.02г. вывиха копчика не определяется (снимок идентичен представленной R-грамме от28.11.03г., кроме этого есть нормальная R-грамма копчика в боковой проекции).Через три недели стала ходить, но привести правую ногу в тазобедренном суставе не могла. Сейчас ходит отведя кнаружи правое бедро и голень, как ножку циркуля (фото 1). Неврологических нарушений нет. По просьбе врачаможет на 30-40 секунд поставить ноги вместе (фото 2). При этом испытывает сильную тянущую боль и ощущение "вывернутости" в правом тазобедренном суставе. Эти ощущения заставляют вновь отвести бедро. В положении лежа разогнуть бедро полностью не может из-за болей в ягодичной мышце (фото 3). Сгибание также ограничено из-за болей (фото 4). Отведение в положении лежа возможно в том же объеме, что и стоя (фото 5). Заподозрен старый разрыв правого крестцово-подвздошного сочленения.Выполнено R-исследование и КТ(в приложении). По-поводу деформации лонного сочленения выяснен гинекологический анамнез. Роды одни, нормальные в 22 года. Из роддома выписана на 8 сутки, нарушения походки не было, R-графия таза не проводилась. Вопросы на обсуждение: 1. Диагноз либо алгоритм дальнейшего обследования. 2. Лечебная тактика (в первую очередь возможность и целесообразность оперативного лечения).

<  |  >

 

  • Сообщения о Ортопедия и травматология
  • Также Юрий Алексеевич Булахтин
  • Связаться с автором
  • Ответить

    Re: Отводящая контрактура
    Mike Shnider 18 Октябрь 2004, 18:13
    Уважаемый Юрий Алексеевич! Мне кажется по описанной клинике речь идет о посттравматическом бурсите. Уколите ее местно - хотите со стероидами или только лидокаин -в trochanteric bursa + gluteal bursa. Ответ будет быстрый
    [ Ответить ]

    Re: Отводящая контрактура
    Djoldas Kuldjanov, M.D. 18 Октябрь 2004, 19:55
    При отсутствии костной патологии продолжающиеся боли в суставе наводят на мысль о повреждении лабрального хряща с последующим развитием контрактуры.
    Рекомендуется исследования обьема движения в суставе по отдельности: отведение, приведение, сгибание в т.бедренном суставе.
    из рентгенологических боковой т.бедренный сустав (по протоколу) и магниторезонансные исследования

    Джолдас Кульджанов

    Кликните для загрузки файла gadmr.jpg
    17KB (17653 bytes)

    [ Ответить ]

    Re: Отводящая контрактура
    Alexander Chelnokov 18 Октябрь 2004, 21:57
    А под наркозом не пробовали оценить движения в суставе?
    [ Ответить ]

    • Re: Отводящая контрактура
      Отправитель: Mike Shnider 18 Октябрь 2004, 23:28
      Господа! Зачем усложнять задачу? Почему-бы до того как брать пациентку на наркоз или на дорогущую МЯР-артрографию (а только она может достоверно показать labral tear )- не воспользоватся практическим подходом - и уколоть в трохантерную и глютеальную бурсу? Ненаучно?А где же практицизм? Ведь если поможет,больная будет целовать метатарзусы:)

      [ Ответить ]
      • Re: Отводящая контрактура
        Отправитель: Волокитина Елена Александровна 20 Октябрь 2004, 15:50
        Уважаемый Mike Shnider, не приводится бедро уже два года, да и разгибания нет, вряд ли инъекция стероидов разрешит проблему при такой давности процесса. Капсула ретрагированная, да и мышцы уже не те.

        [ Ответить ]
    Re: Отводящая контрактура
    Evgueny Tschekashkin 19 Октябрь 2004, 08:53
    Присоединияюсь к мнению д-ра Джолдаса Кульджанова - наиболее вероятно повреждение ацетабулярной губы - acetabular rim syndrome (ARS).
    Отсутствие изменений сустава на КТ и обычных рентгенограммах, стойкие боли и ограничение подвижности в суставе - симптомы, характерные для повреждения ацетабулярной губы. ЯМР с контрастом или без должны прояснить картину.
    Артроскопия - информативна в большинстве случаев. Клинически можно выполнить так называемые провокационные импиджмент тесты: сгибание -приведение- внутренняя ротация дает усиление болей при повреждении губы в передне-верхнем отделе, усиление болей при разгибании -отведении-наружной ротации характерно для задне-нижнего повреждения. своим опытом лечения не располагаю, по данным литературы артроскопическая или открытая капсулотомия и резекция поврежденного участка приводило к избавлению от болей и восстановлению подвижности сустава. Диагностическая артроскопия т.б сустава технически не очень сложна и время от времени я пользуюсь этим методом (главным образом у детей с суставным сепсисом), поэтому если есть организационные сложности с ЯМР, то артроскопия вполне подходящее средство решения проблемы (больная в положении на спине на тракционном столе, под контролем ЭОПа сустав пунктируется иглой "22G и в полость сустава вводится 80 мл физ р-ра. Скоп вводится через разрез на 1- 1,5 см выше верхушки большого вертела под контролем ЭОПа. Строгих рекомендаций по выбору оптики нет - начинаете с прямым 0 гр, затем 30 гр, 70 и 120 взависимости от информативности осмотра.
    От себя хочу добавить, что к резекции губы как-то не очень душа лежит, существуют методы рефиксации по типу повреждений Банкарта на плечевом суставе, поэтому мне кажется эту же технику было бы разумно применить и на ацетабулярной губе, хотя с литературными данными встречаться не приходилось.
    Всего Доброго,
    Евгений И.Чекашкин
    [ Ответить ]

    Re: Отводящая контрактура
    Волокитина Елена Александровна 20 Октябрь 2004, 13:17
    Уважаемый Юрий Алексеевич, сделаны ли пациентке более дистальные срезы КТ с захватом области тазобедренного сустава? Учитывая давность травмы, могли присоединиться и дистрофические процессы в субхондральной кости головки и впадины. Изменения в капсуле будут хорошо видны на УЗИ, особенно в сравнении со здоровой стороной. Эффективность лечебно-диагностического введения гормональных препаратов, на мой взгляд, сомнительна ввиду давности патологического состояния. При такой стойкой и давней контрактуре без операции вряд ли можно обойтись. Под наркозом амплитуда на разгибание должна увеличиться, усилить эффект можно тено-миотомиями заинтересованных групп мышц, капсулотомией + в послеоперационном периоде хорошее консервативное противовоспатлительное лечение с укладками на разгибание.Что мешает приведению пока не ясно, во встретившихся в нашей работе аналогичных ситуациях причиной был формирующийся медиальный остеофит головки, выталкивающий её из впадины.
    С уважением Е.А.Волокитина

    [ Ответить ]

    Re: Отводящая контрактура
    Alisher Khamraev 21 Октябрь 2004, 10:31
    Уважаемый Юрий Алексеевич,
    имеется ли пальпаторная болезненность области бурсы, m.tensor fasciae latae и mm.glutaei?
    Не исключена вероятность посттравматического изменения мышечной ткани (рубцы, спайки, оссификация и т.д.), которые приводят к уменьшению
    эластичности этих мышц. В положении приведения происходит их перерастяжение, создается болевой синдром. На представленных снимках, к сожалению, эти структуры не определяются.
    Если это такой случай, то больной поможет Z образное удлинение широкой фасции бедра или операция Хельмута.
    Пока идет обсуждение, введение дипроспана и рассасывающая терапия в эти области ей не повредит.
    Желаю удачи.
    [ Ответить ]

    Re: Отводящая контрактура
    Булахтин Юрий Алексеевич 21 Октябрь 2004, 16:43
    Уважаемые коллеги!
    Большое спасибо всем, принявшим участие в обсуждении случая.
    Отвечаю по порядку на поступившие предложения и выполненные манипуляции.
    Согласен с мнением о том, что очень похоже на ARS (самостоятельного опыта лечения не имею). Думал, что в этом случае внутрисуставная блокада должна приносить хотя бы временное улучшение. Правда склонялся не к изолированному отрыву губы, а к сочетанному - с повреждением и крестцово-подвздошного сочленения. Поэтому месяц назад сделал пять блокад с недельным интервалом - в сустав и крестцово-подвздошное сочленение. Все они эффекта не дали и сопровождались явленими симпато-адреналового криза: мышечная дрожь,
    игра вазомоторов, ощущение жара и болей в голове и позвоночнике.
    Сегодня сделал блокаду в области сумок m.tensor fasciae latae, mm.glutaei (2ml дипроспана + 0,25% лидокаин до 20 ml, новокаин больная не переносит). Кроме вышеуказанных общих явлений появились
    боли в суставе, чувство распирания в промежности. Объем движений не изменился.
    Импиджмент тесты:
    а)сгибание -приведение-внутренняя ротация сопровождалась резчайшей
    болью в области большого вертела;
    б)разгибании -отведении-наружная ротация - болью в медиальных отделах сустава с иррадиацией в прямую кишку и влагалище.
    Что касается дальнейшйго инструментального обследования, увы:
    1. ЯМР на Камчатке нет.
    2. В госпитале нет артроскопа.
    3. Больная неимущая, оплатить наркоз не в состоянии.

    Дальнейшие результаты через неделю, т.к. уезжаю в командировку.

    Ю.А. Булахтин
    [ Ответить ]

    Re: Отводящая контрактура
    Djoldas Kuldjanov 25 Октябрь 2004, 22:25










































































    Юрий Алексеевич,


    ЯМР-нет; Артроскопа- нет; Неимущая.
    Сложный, безденежный вопрос в России, а на Западе падение с трапа самолета даже самый молодой, только начинающий работу адвокат, посчитал бы за крупной выигрыш в лотерею и обеспечил бы ей такую
    финансово счастливую жизнь, что отпала бы неоходимость вообще двигаться или летела бы самолетами в первом классе.

    На вашем месте, Юрий, учитывая безуспешние консервативные усилия, следующим этапом, хотя очень затрудняюсь оправдать свою рекомендацию,
    выбрал бы диагностическую артротомию.

    Думается, вы можете уговорить о необходимости артротомии, а также найдутся средства в больнице для общего наркоза для одной больной!
    (кстати, сколько стоит ваша анестезия).

    Информация о лабральной патологии:

    Начать с медиальной тенотомии аддукторов до начала операции (при изолированном бурсите m. Iliopsoas??) который улучшит абдукцию в суставе, затем обработать конечность по вашей принятой методике, стерильная укладка и приступить к артротомии.

    Доступом Watson-Jones спереди открыть сустав, пробником менисков проверяется наличие повреждения, при подтвержении удаление менискотомом или любым вам по душе инструментом. При операции также будет возможность рассечь утолщенную капсулу сустава и после операции капсулу оставить не зашивая.

    Если Вы с суставом "на ты" можно сделать и другой доступ - Digastric Approach, разработанный за последнее 5-6 лет докторами Reinhold Ganz, Bern, Switzerland и Jeffrey Mast, (Detroit) Reno, USA, c которыми знаком более 15 лет и имел счастье работать с Jeff более 2.5 лет, т.е. стоял у начала разработки доступа, применяю во всех Surgical Dislocation of the Hip при Hip Impingment and Femoral Neck “Circumcision”, также в Retroverted Acetabulum. См. здесь

    Положение на боку как при протезировании с карманами для конечности, доступ латеральный Koher-Langenbeck, трохантер сзади срезается пилой без отсечения m. gluteus medius and m. vastus lateralis (оттуда название доступа), вскрывается сустав как на рисунке Z-образно, т.е. без повреждения кровоснабжения, в верхнем углу под пириформис поступает верхняя ретинакулярная ветвь, затем вывихивается сустав, конечность укладывается спереди максимально ротируется кнаружи, связка головки срезается без боязни, потому что сохранение medial circumflex collateral artery важно в этом доступе (рисунок).
    Значение вашего ассистента в этом доступе имеет критическую роль, потому что подталкивая конечность вверх и ротируя конечность внутрь и кнаружи, создаст вам хороший вид со всех сторон.
    На слайде изучение на трупах показывающее важность данного сосуда (зеленые) поступающего под пириформис мышцы к пириформис фосса.
    Это доказательство того, что при осторожнем (хирургическом) вывихе головки, питающий сосуд еще не повреждается и можно работать в суставе изнутри без боязни АВН головки.
    А также доказательство того, что возможны повреждения питающих сосудов головки бедра во время банального антеградного штифтования бедра через пириформис фосса.

    О необходимости операционного вскрытия сустава при отсутствии других методов решать Вам, лечашему врачу.

    Согласен с мнением, на ЯМР поврежденную патологию лабриум можно опознать, но лучше в ЯМР-артрография с гадолинием, где лучше видны степени повреждения. (опять Reinhold Ganz - у него делают артротомию лучше всех, мне пришлось уговорить нашего рентгенолога отправиться к нему на стажировку)

    Нет артроскопического опыта и мне трудно судить о значении артроскопического лечения.
    Насчет фиксации лабриум, при повреждении - удаление, когда идет отслоение от основания - рефиксация, как в Банкарт применяю Anchor Sutures (в снимке N7)
    Особенно при медиальных остеофитах и протрузио, когда идет удаление остеофитов по кругу, после удаления нароста рефиксацию лабриум. Без выяснения уровня контрактуры, врядь ли поможет Z-образное удлинение широкой фасции бедра или операция Хельмута.
    Введение дипроспана и рассасывающую терапию не могу комментировать.

    Джолдас Кулджанов

    [ Ответить ]

    • Re: Отводящая контрактура
      Отправитель: Evgueny Tschekashkin 26 Октябрь 2004, 23:06
      Уважаемый Джолдас,

      Спасибо за комментарии по ARS. На рекомендуемом сайте прочитал очень полезную и интересную лекцию Д-ра М.Stove - фундаментальное и практичное руководство для интересующихся хирургией вертлужной впадины.
      Все основные моменты по диагностике и интерпретации Рг данных с элементами анимации - просто класс.
      Громадное спасибо,
      Евгений И Чекашкин

      [ Ответить ]
    Re: Отводящая контрактура
    Alexander Rykov 26 Октябрь 2004, 19:51
    Юрий Алексеевич! Поступите так. Дайте заключение о необходимости хирургического лечения в условиях специализированной клиники (скажем, Дорожной больницы г.Хабаровска). ЯМР И КТ есть, возможность артротомии
    есть - а далее пусть чиновники от медицины договариваются об оплате с нашими чиновниками. Перекиньте свои проблемы на бюрократов. Смею Вас заверить, они что-нибудь сотворят. А технологически мы всегда поможем. А Рыков. Хабаровка.
    [ Ответить ]


    ( Ответить )

    Powered by Zope  Squishdot Powered MedLink
    Посетитель: 0389987
      "По форме правильно, а по существу - издевательство" В.И.Ленин
    ©2001-2019Orthoforum Coordinator.
    [ Главная | Отправить сообщение | Поиск | Админ ]