Ответить
|
Re: пластина или гвоздь?
Алексей Семенистый 10 Декабрь 2006, 02:30
|
Приветствую, Александр и Виталий!
> > Д> Если позволяют средства, то я бы поставил пластину лучше метафизарную
> Д> LCP. Возможно даже малоинвазивно.
Вероятно, и мы поступили бы так же, не смотря на любовь к штифтам
> "Вы еще пользуетесь пластинками при таких переломах? Тогда мы идем к
> вам!";-)
> Почему не заштифтовать? Малоинвазивно это будет не то что "возможно",
> а всенепременно. И если фиксатор отечественный использовать, то и про
> средства особо напрягаться не придется. По соотношению цена/результат
> - штифтование тут в разы превосходит LCP.
С последним утверждением не могу согласиться. Перелом А1.- вполне реально малоинвазивной техникой добиться анатомичной репозиции, компрессии перелома стягивающим винтом + нейтрализующая LCP (лучче премоделированной) И ДАТЬ НАГРУЗКУ СРАЗУ, КАК НА ГВОЗДЕ. Свои наблюдения показывают, что при таких дистальных переломах даже при очень хорошей репозиции на штифте часто бывает замедленное сращение и, что самое главное через 4-6 месяцев функция полностью еще не восстанавливается, а с пластиной - восстанавливается.
А.Семенистый
|
[
Ответить ]
|
Re: пластина или гвоздь?
Отправитель: Alexaander Chelnokov 10 Декабрь 2006, 02:36
|
>> > Д> Если позволяют средства, то я бы поставил пластину лучше метафизарную
>> Д> LCP. Возможно даже малоинвазивно.
АС> Вероятно, и мы поступили бы так же, не смотря на любовь к штифтам
У нас тоже LCP доступны, но со штифтами как-то оно и проще, и надежнее.
АС> С последним утверждением не могу согласиться. Перелом А1.- вполне
АС> реально малоинвазивной техникой добиться анатомичной репозиции,
При любом варианте (аппарат, пластина, гвоздь) здесь можно и нужно добиться закрытой репозиции.
АС> компрессии перелома стягивающим винтом + нейтрализующая LCP (лучче
АС> премоделированной)
Это, безусловно, выполнимо, как и любой другой вариант фиксации отломков. Вопрос - что оптимальнее? Для начала - определиться бы с
критериями оптимальности?
АС> И ДАТЬ НАГРУЗКУ СРАЗУ, КАК НА ГВОЗДЕ.
Нагрузку без ограничений? С массой тела >100 кг? С правильным штифтом можно. А с пластинами? Надо будет на стенде погонять при случае.
АС> Свои наблюдения показывают, что при таких дистальных переломах
АС> даже при очень хорошей репозиции на штифте часто бывает замедленное
АС> сращение
При спиральных переломах - не припоминаю. Есть примеры посмотреть?
АС> и, что самое главное через 4-6 месяцев функция полностью
АС> еще не восстанавливается, а с пластиной - восстанавливается.
Интересно. Контрактуры тут IMHO ожидаемы в первую очередь при лечении "классическими" аппаратами со сквозными спицами через переднюю группу мышц. Со стержнями проблем с функцией в такие сроки не припоминаю. С малоинвазивными пластинами тоже. В общем, без исследования не обойтись.
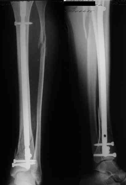
В приложении пример лечения аналогичного повреждения (плюс задний край).

|
[
Ответить ]
|
Re: пластина или гвоздь?
Отправитель: Алексей Семенистый 10 Декабрь 2006, 07:53
|
> У нас тоже LCP доступны, но со штифтами как-то оно и проще, и
> надежнее.
Когда есть выбор методов, помноженный на опыт и умения врача, это всегда здорово, проще и надежнее!
> При любом варианте (аппарат, пластина, гвоздь) здесь можно и нужно
> добиться закрытой репозиции.
Не просто репозиции, а анатомичной. Анатомичная репозиция требует абсолютной стабильности. Конечно, первичное сращение вообще - не самоцель. Но при простом метафизарном переломе это правильная цель.
> Вопрос - что оптимальнее? Для начала - определиться бы с
> критериями оптимальности?
Сложный философский вопрос!
> АС> И ДАТЬ НАГРУЗКУ СРАЗУ, КАК НА ГВОЗДЕ.
> Нагрузку без ограничений? С массой тела >100 кг? С правильным штифтом
> можно. А с пластинами? Надо будет на стенде погонять при случае.
С правильной пластиной правильно установленной тоже ДА! (не вообще, а именно при этом переломе)
> АС> даже при очень хорошей репозиции на штифте часто бывает замедленное
> АС> сращение
>
> При спираьных переломах - не припоминаю. Есть примеры посмотреть?
Пожалуй ты прав, при простых низкоэнергетических спиральных переломах ничего не нашел :)
> АС> еще не восстанавливается, а с пластиной - восстанавливается.
>
> Со стержнями проблем с функцией в такие сроки не припоминаю. С
> малоинвазивными пластинами тоже. В общем, без исследования не обойтись.
Прекрасная мысль!
> В приложении пример лечения аналогичного повреждения (плюс задний край).
Превосходно!
С уважением, А.Семенистый
|
[
Ответить ]
|
Re: пластина или гвоздь?
Отправитель: А.Миронов 10 Декабрь 2006, 10:22
|
>Свои наблюдения показывают, что при таких дистальных переломах даже при очень хорошей репозиции на штифте часто бывает замедленное сращение и, что самое главное через 4-6 месяцев функция полностью еще не восстанавливается, а с пластиной - восстанавливается.
A как Вы это обьясняете
А.Миронов
|
[
Ответить ]
|
Re: пластина или гвоздь?
Отправитель: Алексей Семенистый 10 Декабрь 2006, 20:15
|
>Свои наблюдения показывают, что при таких >дистальных переломах даже при очень хорошей >репозиции на штифте часто бывает замедленное >сращение и, что самое главное через 4-6 месяцев >функция полностью еще не восстанавливается, а с >пластиной - восстанавливается.
>A как Вы это обьясняете
>А.Миронов
Возможно нагрузка, которую мы разрешаем на штифте, оказывается неадекватной достигнутой стабильности и репозиции. Кроме того, Александр Николаевич меня справедливо поправил, это касается более тяжелых повреждений с прямым механизмом.
А.Семенистый
|
[
Ответить ]
|
|
( Ответить )
|
|