AOTRAUMA.ORG Центр Илизарова  

Ортопедия и травматология Общие вопросы/General questions Help Информационные технологии в медицине
 вверх
 отправить
 поиск
 админ
 главная
 Предыдущее


Re: Очередная "проблемная" голень - ложный сустав
Антон Лебединец 04 Май 2007, 22:16
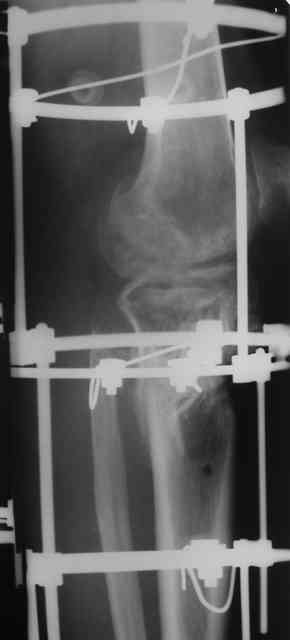
Р-граммы и фото за 4.05.2007 - 7-е сутки после операции.



Ход операции - линейным разрезом по передней поверхности голени обнажена зона ложного сустава большеберцовой кости. От кости отсепарованы медиально м/ткани. Из зоны ложного сустава убраны рубцовые ткани, мобилизован дистальный отломок. По передней поверхности удалены два осколка, связанных грануляциями. Произведено удаление грануляционной ткани из проксимального отломка (на вид сине-серого цвета), "чистого" гноя не было. Затем произведено наложение аппарата и репозиция отломков. По передне-медиальной поверхности образовался дефект до 4х2х2 см + полость в проксимальном отломке. Удаленные осколки очищены от грануляций, уложены в место дефекта, зажаты между отломками. После иссечения раны по передней поверхности, находящейся рядом с операционной раной, последняя ушита с большим натяжением.
Перелом мыщелка сросся. Проксимальный отломок очень порозный.
На перевязках - из раны небольшое кол-во сукровичного отделяемого. Отек голени умеренный, состояние кожи на фото.

Что скажете?
  • Сообщения о Ортопедия и травматология
  • Также Антон Лебединец
  • Связаться с автором
  • Ответить

    Re: Очередная "проблемная" голень - ложный сустав
    Алексей Семенистый 05 Май 2007, 00:55
    >
    > Р-граммы и фото за 4.05.2007 - 7-е сутки после операции....
    ...По передне-медиальной поверхности образовался дефект до 4х2х2 см + полость в проксимальном отломке. Удаленные осколки
    очищены от грануляций, уложены в место дефекта ,зажаты между отломками. После иссечения раны по передней поверхности,
    находящейся рядом с операционной раной, последняя ушита с большим натяжением....
    ...Отек голени умеренный, состояние кожи на фото.
    >
    > Что скажете?


    Ну, что сказать. Антон, если честно, копаете под заведующего?

    С уважением, А.Семенистый.
    ГКБ 13, Москва.
    [ Ответить ]

    • Re: Очередная "проблемная" голень - ложный сустав
      Отправитель: Антон Лебединец 05 Май 2007, 00:56
      > Ну, что сказать. Антон, если честно, копаете под заведующего?

      Прошу прощения, не понял смысла :0

      С уважением А. В. Л.

      [ Ответить ]
      • Re: Очередная "проблемная" голень - ложный сустав
        Отправитель: Алексей Семенистый 05 Май 2007, 00:57
        > Прошу прощения, не понял смысла :0


        Это тоже не Ваше творчество?

        С уважением, А.Семенистый.
        ГКБ 13, Москва.

        [ Ответить ]
        • Re: Очередная "проблемная" голень - ложный сустав
          Отправитель: Антон Лебединец 05 Май 2007, 00:59
          > Это тоже не Ваше творчество?

          Уважаемый Алексей! По молодости лет я просто не имею возможности оперировать подобные случаи. А представляю данного больного с целью узнать мнение коллег с большим опытом, услышать конструктивную критику (ни у кого из нас крыльев нет). На ошибках учатся (причем, умные - на чужих). Поэтому если можно - укажите, что сделано не так, как бы вы лечили данного больного. А авторство творчества - это дело второе. Ведь не важно КТО - важно КАК.

          С уважением А. В. Л.

          [ Ответить ]
          • Re: Очередная "проблемная" голень - ложный сустав
            Отправитель: Alexander Artemiev 05 Май 2007, 01:00
            Здравствуйте, Антон.
            Пока не прочитал ответ Алексея, хотел сказать теми же словами.
            Я Вас лично не знаю...
            Мне кажется, Вы не очень любите своего заведующего. Возможно, вполне обоснованно.
            Но Вы прекрасно понимаете, что представленные Вами случаи - фигня полная. Вы методично фотографируете, потом делаете круглые глаза - типа это не я. Я думал, Вас интересует мнение перед операцией, и Вы хотите его реализовать. По поводу предыдущего случая честно часа два сидел сжимал
            картинки, редактировал. Получается, зря потратил время. Рассказывать что такое хорошо и что такое плохо - возможно, у кого-то есть лишнее время...
            Если хотите открыть фотогалерею "косяков" - то с почином...
            С уважением Александр Артемьев

            [ Ответить ]
            • Re: Очередная "проблемная" голень - ложный сустав
              Отправитель: Антон Лебединец 05 Май 2007, 01:07
              Мне кажется, Вы не очень любите своего заведующего.
              Причем здесь любовь? Я думал, на форуме оценивают профессиональные качества.
              Если это выглядит как "поливание грязью" - прошу прощения, значит, плохо представил случаи, если усмотрели какой-то подтекст.

              > Но Вы прекрасно понимаете, что представленные Вами случаи - фигня
              > полная.


              В каком плане - фигня? Очень простые для вас? Или как?

              Вы методично фотографируете, потом делаете круглые глаза - типа это не я.

              Ну вот - не фотографируешь - плохо, фотографируешь - тоже не так. А насчет я - не я - уже объяснил. И? по-моему, представляют случаи не только своего рукоделия (а я каким-то образом участник операций и лечащий врач, часть ответственности за содеянное естественно и на мне).

              > Я думал, Вас интересует мнение перед операцией, и Вы хотите его
              > реализовать.


              Безусловно меня очень интересует мнение других, иначе я бы не тратил время на переписку. Ну а насчет реализовать... уже говорилось выше. Что называется - хотеть не вредно (пытаюсь доносить советы, не всегда успешно).

              >Получается, зря потратил время.

              Ни в коем случае - "учимся потихоньку-учимся"

              > Рассказывать что такое хорошо и что такое плохо - возможно, у кого-то
              > есть лишнее время...


              А вы считаете что потратили время зря, если объяснили человеку, что он не так сделал (при условии, что человек готов воспринимать любую разумную критику)

              > Если хотите открыть фотогалерею "косяков" - то с почином....

              Опять непонятно. "Косяки" ? А надо выкладывать только красивые и по науке сделанные вещи? А критиковать тогда что. Или у Вас тоже все получалось гладко и красиво с самого института? (не сочтите за "наезд")

              [ Ответить ]
          • Re: Очередная "проблемная" голень - ложный сустав
            Отправитель: Алексей Семенистый 05 Май 2007, 01:25
            > По молодости лет я просто не имею возможности оперировать подобные случаи. А представляю данного больного с целью
            > узнать мнение коллег с большим опытом, услышать конструктивную критику... Поэтому если можно - укажите, что сделано не
            > так, как бы вы лечили данного больного. А авторство творчества - это дело второе. Ведь не важно КТО - важно КАК.



            >Ход операции - линейным разрезом по передней поверхности голени обнажена зона ложного сустава большеберцовой кости. От
            >кости отсепарованы медиально м/ткани. Из зоны ложного сустава убраны рубцовые ткани, мобилизован дистальный отломок...

            То есть, кость как следует скелетировали!


            > По передней поверхности удалены два осколка, связанных грануляциями. Произведено удаление грануляционной ткани из
            > проксимального отломка (на вид сине-серого цвета), "чистого" гноя не было.



            Обычно имеющийся свищ прокрашивают (зеленкой, синькой) и иссекают прокрасившиеся ткани, а не все подряд.

            Затем произведено наложение аппарата и репозиция отломков.

            Аппарат видел, репозиции не заметил. О "наложенном" аппарате: спицы в проксимальном отломке б\берцовой кости проведены очень низко, и опять только две, как и в первом аппарате. Почему только одна спица в дистальном парафрактурном кольце? Проксимальная база на бедре должна улучшить стабильность проксимального фрагмента tibia? Ничего подобного двумя спицами в одной базе при таком длинном рычаге вы не добьетесь, а вот совсем потерять движения в коленном суставе они почти гарантируют.
            О репозиции: мыщелок сросся и слава Богу, но основные отломки фиксированы в вальгусном положении, собственно как и было, это критично. В чем состояла репозиция?

            >По передне-медиальной поверхности образовался дефект до 4х2х2 см + полость в проксимальном отломке. Удаленные осколки
            >очищены от грануляций, уложены в место дефекта ,зажаты между отломками.


            "Удаленные осколки" уже скомпроментированы, им место у патоморфолога под микроскопом! Зачем подливать масло в огонь. В дефект можно временно ввести цементные бусы с антибиотиком, а потом, когда все будет чисто думать о костной пластике.
            Возможно, учитывая дефицит мягких тканей, стоило сделать полноценную резекцию концов несросшегося перелома, пойти на временное укорочение, но закрыть рану без натяжения или создать условия для вторичного заживления.


            > После иссечения раны по передней поверхности, находящейся рядом с операционной раной, последняя ушита с большим
            > натяжением.


            Никогда не ушивайте с большим натяжением, особенно на голени, лучше оставить рану открытой! Кстати, что был за разрез (длина, напрвление) я так и не понял. По фотографиям вроде как почти поперечный. Никогда не слышал о таком, разве что для апмутации.

            >На перевязках - из раны небольшое кол-во сукровичного отделяемого. Отек голени умеренный, состояние кожи на фото.

            Выглядит тревожно и не дает повода для оптимистичных прогнозов.


            С уважением, А.Семенистый.
            ГКБ 13, Москва.

            [ Ответить ]
            • Re: Очередная "проблемная" голень - ложный сустав
              Отправитель: Антон Лебединец 05 Май 2007, 01:44
              > То есть, кость как следует скелетировали!

              Ну не так чтобы очень - по длине около 3-4 см дистального отломка по медиальной и передней поверхности

              > Обычно, имеющийся свищ прокрашивают (зеленкой, синькой) и иссекают прокрасившиеся ткани, а не все подряд.

              Не спорю, я бы так и сделал и при возможности и фистулографию тоже

              > Затем произведено наложение аппарата и репозиция отломков.

              Прошу прощения - выразился коряво

              > Аппарат видел, репозиции не заметил. О "наложенном" аппарате: спицы в проксимальном отломке б\берцовой кости проведены
              > очень низко, и опять только две, как и в первом аппарате.


              Согласен, добавить третью бы не помешало, но очень плохие ткани, ничего?

              Почему только одна спица в дистальном парафрактурном кольце?
              ??? Не любит заведующий много спиц проводить (опять сочтут за поклеп, но на вопрос ответить надо?)

              > О репозиции: мыщелок сросся и слава Богу, но основные отломки фиксированы в вальгусном положении, собственно как и
              > было, это критично. В чем состояла репозиция?


              Вальгус планируем постепенно устранить, а основное что сделали - устранили смещение в передне-заднем направлении.

              > "Удаленные осколки" уже скомпроментированы, им место у патоморфолога под микроскопом!

              Опять согласен.

              В дефект можно временно ввести цементные бусы с антибиотиком

              Эх, если бы могли - ввели.

              > Возможно, учитывая дефицит мягких тканей, стоило сделать полноценную резекцию концов несросшегося перелома, пойти на
              > временное укорочение, но закрыть рану без натяжения или создать условия для вторичного заживления.


              И снова в точку!

              > Никогда не ушивайте с большим натяжением, особенно на голени, лучше оставить рану открытой! Кстати, что был за разрез
              > (длина, направление) я так и не понял. По фотографиям вроде как почти поперечный. Никогда не слышал о таком, разве что
              > для ампутации.



              Разрез линейный косой до 12-14 см (на фото голени с наружной поверхности виден) + добавлен шов от иссечения свища по передне-медиальной поверхности почти перпендикулярный к основному (до 4 см)

              > Выглядит тревожно и не дает повода для оптимистичных прогнозов.

              Разделяю ваши опасения и с тревогой думаю - что дальше - ведь после отхождения некроза оголится кость и на довольно большом участке

              С уважением А. В. Л.

              [ Ответить ]
              • Re: Очередная "проблемная" голень - ложный сустав
                Отправитель: Alexander Chelnokov 05 Май 2007, 02:10
                Согласен с оценкой Алексея. Секцию на бедро не нужно, на ровном месте сформируется контрактура коленного сустава. В проксимальный эпиметафиза большеберцовой ввели бы 4-5 спиц с упорами, в том числе в виде петли, и хватило бы.

                Сделана некрэктомия - вроде все обычно, но возврат удаленнных секвестров назад - подход нешаблонный.

                А что делать дальше, когда вывалится некроз, как раз понятно - некрэктомия, сегментарный костный дефект, закрываются мягкие ткани (грануляции, свободная пластика, можно несвободную, cross-leg), потом замещать дефект кости удлинением одного из отломков.

                [ Ответить ]
                • Re: Очередная "проблемная" голень - ложный сустав
                  Отправитель: Антон Лебединец 05 Май 2007, 03:21
                  Секцию на бедро не нужно,

                  ??? Я думал как раз необходимо, учитывая короткий проксимальный отломок. Насчет колена - согласен.

                  В проксимальный эпиметафиз большеберцовой ввели бы 4-5 спиц с упорами

                  4-5? Мы из-за состояния кожи 3-ю побоялись ввести, хотя наверное надо (более дистально)

                  > Сделана некрэктомия - вроде все обычно, но возврат удаленнных
                  > секвестров назад - подход нешаблонный.


                  Без коментариев

                  > А что делать дальше, когда вывалится некроз, как раз понятно -
                  > некрэктомия, сегментарный костный дефект, закрываются мягкие ткани
                  > (грануляции, свободная пластика, можно несвободную, cross-leg),


                  Насчет кросс-лег - а как это выглядит в аппарате?

                  >потом замещать дефект кости удлинением одного из отломков.

                  Наверное дистального, тянуть его кверху, (проксимальный короткий и порозный) Но это отдаленное будущее.

                  Пока планы были такие: дать еще компрессию, стабилизировать на 10-12 дней (устранив вальгус стержнями или на шарнирах (кстати как посоветуете), а затем дистракцию - медленно. Но.... очень много "но"

                  Буду благодарен за все советы по дальнейшему лечению

                  PS: Александр, неужели вы каждый день до 2-3-х ночи сидите? А утром на работу!

                  С уважением А. В. Л.

                  [ Ответить ]
                  • Re: Очередная "проблемная" голень - ложный сустав
                    Отправитель: Alexander Chelnokov 05 Май 2007, 03:31
                    > Секцию на бедро не нужно,
                    > ??? Я думал как раз необходимо, учитывая короткий проксимальный
                    > отломок.


                    Да не такой уж он короткий, до щели коленного сустава там вон сколько места.

                    > В проксимальный эпиметафиз большеберцовой ввели бы 4-5 спиц с упорами
                    > 4-5? Мы из-за состояния кожи 3-ю побоялись ввести, хотя наверное надо (более дистально)


                    Более проксимально. И если состояние кожи какое-то не такое, как раз побольше надо спиц. Если будет хорошая стабильность, то шансы на успех в борьбе с инфекцией повысятся.

                    Насчет кросс-лег - а как это выглядит в аппарате?

                    Фото под рукой нет, на вторую ногу просто накладываются опоры, и два аппарата соединяются.

                    > Пока планы были такие: дать еще компрессию, стабилизировать на
                    > 10-12 дней (устранив вальгус стержнями или на шарнирах (кстати как
                    > посоветуете), а затем дистракцию - медленно. Но.... очень много "но"


                    А зачем дистракцию? Угол устранить тут просто, шарниры над вершиной деформмци, один спереди, друго сзади. И по наружной поверхности "растягушку" на 2 "бантиках".

                    > PS: Александр, неужели вы каждый день до 2-3-х ночи сидите? А утром на работу!

                    Зря мы тут, что ли, бешеные деньги получаем...

                    [ Ответить ]
                    • Re: Очередная "проблемная" голень - ложный сустав
                      Отправитель: Антон Лебединец 05 Май 2007, 13:29
                      > Фото под рукой нет, на вторую ногу просто накладываются опоры, и два
                      > аппарата соединяются.


                      Интересно было бы посмотреть

                      > А зачем дистракцию?

                      Дистракцию - вроде как Илизаров говорил, что "в огне дистракционного регенерата сгорает инфекция"

                      Угол устранить тут просто, шарниры над вершиной деформации, один спереди, друго сзади. И по наружной поверхности "растягушку" на 2 "бантиках".
                      А почему на "сжималку" по внутренней?


                      > Зря мы тут, что ли, бешеные деньги получаем...
                      Завидую! :)

                      С уважением А. В. Л.


                      [ Ответить ]
                      • Re: Очередная "проблемная" голень - ложный сустав
                        Отправитель: Alexander Chelnokov 05 Май 2007, 13:32
                        > Интересно было бы посмотреть

                        Это несложно и без предварительного просмотра. Когда лоскут на задней поврехности одной голени будет пришит к передней поверхности другой, станет очевидно, как удобно разместить опоры, чтобы соединить
                        голени.

                        > Дистракцию - вроде как Илизаров говорил, что "в огне
                        > дистракционного регенерата сгорает инфекция"


                        Рациональный смысл этого образного высказывания в том, что инфекции плохо живется при хорошем кровоснабжении и высокой стабильности. Вот и пркиньтие к местным услвоиям, например, нет ли где-то аваскулярных тканей. Крупный секвестр от дистракции не оживет.

                        > спереди, друго сзади. И по наружной поверхности "растягушку" на 2 "бантиках".
                        > А почему на "сжималку" по внутренней?


                        Возможно, здесь можно и так. Вообще, дистракция безопаснее, т.к. можно не опасаться преждевременного упора фрагментов друг в друга до завершения коррекции, если шарниры стоят правильно.

                        [ Ответить ]
                  • Re: Очередная "проблемная" голень - ложный сустав
                    Отправитель: Алексей Семенистый 05 Май 2007, 11:44
                    > 4-5? Мы из-за состояния кожи 3-ю побоялись ввести, хотя наверное надо (более дистально)

                    Да куда уж дистальнее. Проксимальнее! Да и с кожей судя по фото там больших прблем нет. Для заживления мякгких тканей стабильность костных отломков не менее важна, чем для сращения перелома.

                    > >потом замещать дефект кости удлинением одного из отломков.
                    > Наверное дистального, тянуть его кверху, (проксимальный короткий и порозный)Но это отдаленное будущее.


                    Конечно, остеотомия для удлиннения должна быть в этом случае дисьальная. А будущее вероятно не такое уж и отдаленное.


                    > Пока планы были такие: дать еще компрессию, стабилизировать на 10-12 дней (устранив вальгус стержнями или на шарнирах
                    > (кстати как посоветуете)


                    Только на шарнирах. Но спиц в проксимальный отломок добавить, а базу с бедра снять.

                    > а затем дистракцию - медленно. Но.... очень много "но"

                    А это зачем?

                    С уважением, А.Семенистый.
                    ГКБ 13, Москва.

                    [ Ответить ]
          • Re: Очередная "проблемная" голень - ложный сустав
            Отправитель: Никита Заднепровский 05 Май 2007, 11:46
            Здравствуйте, Антон.

            АЛ> Поэтому если можно - укажите,
            АЛ> что сделано не так, как бы вы лечили данного больного.


            Кольцо с бедра демонтировать. Добавить кольцо проксимальней к коленному суставу с двумя спицами. Соединить с нижним предварительно проведя еще одну спицу в этом кольце. Получится проксимальный модуль.
            Провести еще одну спицу в проксимальном кольце дистального модуля. Между ними (модулями) убрать штанги ... "через колено" устранить варус и зафиксировать тремя резьбовыми штангами.

            Вы писали, что открыто "отрепонировали" отломки ... Чессслово, не увидел
            ...

            Рану раскрыть и вести открыто. Возможно и реактивный синовит коленного сустава купируется, что позволит его разработку.

            С уважением, Заднепровский Никита Николаевич

            [ Ответить ]
            • Re: Очередная "проблемная" голень - ложный сустав
              Отправитель: Alexander Chelnokov 05 Май 2007, 11:53
              > Кольцо с бедра демонтировать. Добавить кольцо проксимальней к
              > коленному суставу с двумя спицами.


              Да ведь уже есть кольцо на 3 см дистальнее щели коленного сустава, куда там еще одно?

              > Соединить с нижним предварительно проведя еще одну спицу в этом
              > кольце. Получится проксимальный модуль.


              А почему не провести еще несколько спиц в проксимальный отломок, буквально субхондрально, где кость поплотнее, да и закрепить на кронштейнах к уже имеющемуся кольцу?

              > Провести еще одну спицу в проксимальном кольце дистального модуля.
              > Между ними (модулями) убрать штанги ... "через колено" устранить варус и


              Это так в Габурге на гексаподном курсе учили?

              > Рану раскрыть и вести открыто.

              Поздно, некроз кожи уже сформировался.

              > Возможно и реактивный синовит коленного сустава купируется, что

              Да синовит-то купируется и в положении как есть на сегодня, но не синовит тут основная проблема.


              [ Ответить ]
    Re: Очередная "проблемная" голень - ложный сустав
    Каминский Андрей 05 Май 2007, 23:21
    Антон, люди дел говорят. Места для проведения спиц в проксимальнвй фрагмент предостаточно. Их можно установить на флажки, можно прововодить не параллельно плоскости кольца, а как придется и это позволяет идти через здоровые ткани. Вопрос с фиксацией колена на этапе заживления мягких тканей спорный. Контрактура там и так должна быть выраженная, но тут вы легко могли сустав не задействовать. Настоятельно рекомендую добавить спицу с упором в проксамальный конец дисталоного фрагмента. Как верно было сказано - надежная иммобилизация залог успеха. На "огонь регенерата" тут расчитывать не стоит и дистракцию лучше не выполнять. В лечении гнойных осложнений главное (простите за банальность) радикальное удаление инфицированных и нежизнеспособных тканей. Теперь-то поздно, но при операции может стоило резецировать и лучше адаптировать отломки, пойти на укорочение. Возникнет ортопедическая проблема, но мягкие ткани смогли бы зажить. Теперь нужно надеяться, что вы все хорошо почистили и возвращенные отломки не станут секвестами.
    От всей души желаю Вам удачи, а больному выздоровления.
    Каминский Андрей. г.Курган.
    [ Ответить ]


    ( Ответить )

    Powered by Zope  Squishdot Powered MedLink
    Посетитель: 0204266
      "По форме правильно, а по существу - издевательство" В.И.Ленин
    ©2001-2019Orthoforum Coordinator.
    [ Главная | Отправить сообщение | Поиск | Админ ]